Երևան,
26.Մարտ.2026,
00
:
00
Հայերեն
Русский
English
ՄԵՆՅՈՒ
Քաղաքական
Միջազգային
Հասարակություն
Տնտեսություն
Վերլուծական
Մշակույթ
Սպորտ
Բլոգ
Lifestyle
TV
15:44
Երկրաշարժ՝ Մարտունի քաղաքից 8 կմ հարավ-արևելք
10:32
Փրկել ոչ շարքային Փաշինյանին. անկոտրում Կայան «ԵՄ նախընտրական դեսանտային ուժ» կուղարկի Հայաստան. «Փաստ»
10:01
Ամերիկացիները կփորձեն հայերի հաշվին ամրապնդել Ադրբեջանի դիրքերը. «Փաստ»
9:34
«Իմ որդին գերադասեց հայրենի հողն իր ընտանիքից ու իր ծնողներից». կամավոր Արման Օհանջանյանն անմահացել է հոկտեմբերի 20-ին. «Փաստ»
9:03
Արևելք, թե Արևմուտք. մենք պետք է որոշենք՝ ուզում ենք ունենալ պետությո՞ւն, թե՞ պարզապես դրա արտաքին տեսքը. «Փաստ»
8:32
«Նիկոլ Փաշինյանը միշտ է եղել արցախատյաց. նա նույն կերպ կվարվի բոլորի հետ, ովքեր խանգարում են իր իշխանությանը». «Փաստ»
8:01
Երբ հողը փախչում է ոտքերի տակից. «Փաստ»
7:34
Աջակցություն հաշմանդամություն և 63-ից բարձր տարիք ունեցող անձանց աշխատանքի ընդունող գործատուներին. «Փաստ»
7:03
«Պատերազմի» ու «խաղաղության» նոր մանիպուլ յացիան. «Փաստ»
6:32
Արդյո՞ք իրականությանը համապատասխանում են սննդի մեջ «քարուերկաթ» գտնելու մասին «ահազանգերը». «Փաստ»
TV
30 Հունիս, 2019 22:33
Ձեզ թվում էր՝ օղին ընդամենը խմի՞չք է․ ահա օղու օգտագործման 8 փայլուն խորհուրդ
30 Հունիս, 2019 20:42
Լիլի Մորտոն ամբողջովին մերկացել է
30 Հունիս, 2019 14:17
5 արտահայտություն, որ ոչ մի դեպքում սկեսուրը չպետք է ասի հարսին
30 Հունիս, 2019 12:50
«Սիրտդ Հայաստան, քո հոգին՝ Արցախ». Սերժ Սարգսյանի աջակիցները տեսանյութ են հրապար...
29 Հունիս, 2019 23:52
Երազների 12 խորհրդանիշ, որոնք չի կարելի անտեսել
29 Հունիս, 2019 22:31
Եթե քնի ժամանակ թքոտում եք բարձը, ապա լսեք սա
29 Հունիս, 2019 22:18
Երբեք և ոչ մի դեպքում մի՛ վերցրեք դրսում ընկած այս 10 իրերը. զգուշացնում են էքստ...
29 Հունիս, 2019 22:12
Վաղը առաջին ամուսնական գիշերս է... ինչ պետք է իմանա թե՛ տղան, թե՛ աղջիկը (չափահա...
29 Հունիս, 2019 21:54
Բժիշկներն ապշած են. Մեկ տարեկան երեխայի մոտ սեռական հասունացում է սկսվել
29 Հունիս, 2019 21:39
Ինչու են թմրում ձեռքերը. 7 վտանգավոր հիվանդություններ, որոնք կարող են թմրում և ծ...
29 Հունիս, 2019 21:27
Առեղծվածային դեպք Գեղարքունիքի մարզում․ մայրուղում հայտնաբերվել է տղամարդու դի
29 Հունիս, 2019 15:19
Տղամարդը թողեց տեսախցիկը սառույցների վրա․ մեկ րոպե անց այն ֆիքսեց մի բան, որին ո...
29 Հունիս, 2019 14:40
Ո՞վքեր են հայ հայտնիների քույրերը և եղբայրները. դուք նրանց մասին չեք էլ լսել
28 Հունիս, 2019 21:42
Տաքսու վարորդը բռնեց ձեռքս և չթողեց որ իջնեմ...
28 Հունիս, 2019 21:06
Քիմ Քարդաշյանը՝ Հենրիխի և Բեթիի ամուսնության մասին
28 Հունիս, 2019 19:45
Հայկական շոու բիզնեսի հայտնի քավոր-սանիկները
28 Հունիս, 2019 17:12
Այո, ակնհայտ է, որ Սասուն Միքայելյանը նիստերին չի գալիս. Արարատ Միրզոյան
28 Հունիս, 2019 17:01
Քոչարյանը սովորական քաղաքական գործիչ չէ. Արարատ Միրզոյան
28 Հունիս, 2019 12:39
Մանվել Գրիգորյանի պաշտպան Լեւոն Բաղդասարյանի ասուլիսը
28 Հունիս, 2019 11:07
Քնելու դիրքը խոսում է զույգի հարաբերությունների բնույթի մասին
28 Հունիս, 2019 0:01
Այս տեսանյութը կարճ ժամանակահատվածում հավաքել է 13մլն-ից ավելի դիտում
27 Հունիս, 2019 20:52
Այն, ինչ ձկնորսի կինը դուրս բերեց այս գայլաձկան ստամոքսից, ուղղակի անհավանական է...
27 Հունիս, 2019 15:21
Կառավարությունը հատուկ դպրոցներին գումար հատկացրեց (տեսանյութ)
27 Հունիս, 2019 14:56
Գազի գինը հունվարի 1–ից կբարձրանա՞. պարզաբանում է ՀԾԿՀ նախագահը
27 Հունիս, 2019 13:20
Մարդը պետպատվերով պետք է բուժվի, բայց ստիպված է գրպանից վճարումներ անել (տեսանյո...
27 Հունիս, 2019 12:52
Գ.Ծառուկյանն ընդունել է Վիետնամի խորհրդարանական պատվիրակությանը
27 Հունիս, 2019 11:07
Մեկնարկել է ՀՀ կառավարության նիստը․ ՈՒՂԻՂ
27 Հունիս, 2019 10:21
ՈՒՂԻՂ. ԱԺ տնտեսական հանձնաժողովի նիստը
26 Հունիս, 2019 20:28
Հաղորդավարը էլեկտրահարել է գործընկերուհուն ուղիղ եթերի ժամանակ (տեսանյութ)
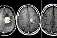
26 Հունիս, 2019 18:32
Գլխուղեղի ուռուցքի առաջին 10 նշանները, որոնց մասին պետք է յուրաքանչյուրն իմանա
<<
416
417
418
419
420
>>
Լրահոս
22:45:20 25-03-2026
Մենք ձայն ՉԵՆՔ ՏԱ որևէ այլ կուսակցության․ Սամվել Կարապետյանը՝ հաջորդ վարչապետ. Նարեկ Կարապետյան
21:55:48 25-03-2026
Այլևս թույլ չենք լինի․ կունենանք ուժեղ և տևական խաղաղություն. Նարեկ Կարապետյան
21:29:09 25-03-2026
Միլիոնի «վերադարձից» մինչև ռեպարացիաներ․ Բաքվի պահանջները կոշտանում են, Երևանը՝ լռում. Նահապետյան (տեսանյութ)
21:00:11 25-03-2026
Ֆինանսական գրագիտության դասընթաց ԵՊՀ-ում․ Իդրամ և IDBank
20:16:15 25-03-2026
Արցախի վերահայացում․ ինչպե՞ս. ՀայաՔվե Հիմնասյուներ
20:07:56 25-03-2026
«Ոչ Արեւմտյան Ադրբեջանին» շարժումը բացահայտում է Ադրբեջանի զավթողական ծրագիրը (տեսանյութ)
20:04:27 25-03-2026
Նարեկ Կարապետյանի ճեպազրույցը
18:53:04 25-03-2026
«Խելացի սահմաններից» մինչև ուժեղ դիվանագիտություն. Հայաստանում ներկայացրել են ուժեղ խաղաղության ծրագիրը
18:38:08 25-03-2026
Անվտանգային ծրագրերով և մեր ազգի ամբողջ պոտենցիալը համախմբելով՝ Սամվել Կարապետյանի առաջնորդությամբ ունենալու ենք տեղ արևի տակ. Նարեկ Կարապետյան
18:32:39 25-03-2026
Նարեկ Կարապետյանը ներկայացրեց, թե ինչպիսին կլինի բանակը իրենց հաղթանակի դեպքում
17:59:05 25-03-2026
Արթուր Ավանեսյանը ջանք չխնայեց Հայաստանի համար, հիմա նա պատրաստ է հաջորդ պայքարին՝ անվտանգություն ապահովելու համար. Նարեկ Կարապետյան
17:44:58 25-03-2026
«Ուժեղ խաղաղության» միջազգային համաժողով՝ հաջորդ վարչապետ Սամվել Կարապետյանի նախաձեռնությամբ
17:42:11 25-03-2026
Իսրայելը hարվածել է Իրանի սnւզանավերի նախագծման միակ կենտրոնին. ՑԱԽԱԼ
17:40:06 25-03-2026
Եկեղեցին ինչ-որ պատահական մարդկանց քայլերի հետևանքով չի կարող nչնչացվել, կազմալուծվել․ Արշակ Սրբազան
17:09:22 25-03-2026
«Հրապարակ». Փաշինյանն ու նրա կառավարությունը ընդդիմությունից գաղափարներ են գողանում
16:19:47 25-03-2026
Հայաստանը նոր քաղաքական մշակույթի կարիք ունի․ Արմեն Մանվելյան
16:08:49 25-03-2026
Ով ընտրում է այս իշխանությանը, շնորհակալություն է հայտնում Ալիևին. Գեներալ Կարապետյան
16:04:20 25-03-2026
Ստորագրեցինք հուշագիր հոլանդական Dyami անվտանգության հետախուզական ընկերության և հունական DRCS-ի հետ. մենք փոփոխություններ ենք բերելու. «Ուժեղ Հայաստան»
15:57:20 25-03-2026
«Ուժեղ խաղաղության» միջազգային համաժողով՝ հաջորդ վարչապետ Սամվել Կարապետյանի նախաձեռնությամբ. Ուղիղ
15:47:59 25-03-2026
Փաշինյանը նոր շոուներ է պատրաստում ընտրություններից առաջ
15:37:55 25-03-2026
Սահմանադրական դատարանը ամբողջությամբ անցավ Փաշինյանի վերահսկողության ներքո
15:33:05 25-03-2026
Փաշինյանին օգնելու համար հաղթահարել են Հունգարիայի դիմադրությունը
15:28:49 25-03-2026
Մեր պետության քարտեզը հենց դուք եք անարգում՝ այն դարձնելով ձեզ համար քարոզչական գործիք. Էդմոն Մարուքյան
15:19:23 25-03-2026
Ստոմատոլոգիական ծառայություններն ու բուհական կրթությունը պետք է լինեն անվճար․ Հրայր Կամենդատյան.
15:05:18 25-03-2026
Մենք կորցնելու ենք մեր երկիրը Նիկոլի պատճառով. Վահե Դարբինյան
14:57:44 25-03-2026
Իրանի դեմ Ամերիկայի և Իսրայելի կողմից սանձազերծված պատերազմը անխուսափելիորեն ավարտվելու է Իրանի լիակատար հաղթանակով. Խաչիկ Ասրյան
14:38:09 25-03-2026
Ֆասթ Բանկը տեղաբաշխում է 12 միլիարդ ՀՀ դրամի կորպորատիվ պարտատոմսեր
14:22:49 25-03-2026
C360 քարտեր. Մի քանի քարտ՝ մեկ գնով
14:16:35 25-03-2026
Հայաստանում գործում է դեղերի թանկացման մաֆիա. Հրայր Կամենդատյան
13:01:09 25-03-2026
Ռոբերտ Քոչարյանի գրասենյակի արձագանքը՝ Նիկոլ Փաշինյանին
12:59:22 25-03-2026
Հայաքվեի սոցիալական ծրագրի չորս հիմնասյունները. Հրայր Կամենդատյան
12:54:24 25-03-2026
Իշխանությունն ընտրել է ժողովրդին ահաբեկելու ճանապարհը․ Աննա Կոստանյան
12:42:57 25-03-2026
Մենք ճիշտ էինք, դուք՝ սխալ․ «Հայաստանը ես եմ» նախաձեռնության մերժված առաջարկը դարձավ օրենքի փոփոխություն. Նաիրի Սարգսյան
12:35:37 25-03-2026
Արցախի վերահայացումն անհերքելի իրավունք է՝ ազգային առաջնահերթություն, և դա փոխելն անհնար է. Աննա Կոստանյան
12:30:12 25-03-2026
Նիկո՛լ խեղկատակ, Ապրիլի 24-ին քո վերջն է լինելու, դու պիտի հեռանաս մինչև ընտրութուններ․ Գրիգորյան
12:27:10 25-03-2026
Տիեզերքում արևային վահանակներն աշխատում են առնվազն 5 անգամ ավելի արդյունավետ
12:22:06 25-03-2026
Մեր հստակ պահանջը Եվրոպական միությանից՝ իրավունքի գերակայություն և հավասարություն բոլորի համար. Ռոբերտ Ամստերդամ
12:09:19 25-03-2026
ԶՊՄԿ-ի նոր ներդրումը՝ կենսունակ համայնքների զարգացման համար
12:04:38 25-03-2026
Սահմանադրությունը վերաձևվում է ադրբեջանաթուրքական թելադրանքով․ Արեգ Սավգուլյան
11:35:34 25-03-2026
18 արդարների գործով դատական նիստը տեղի կունենա մարտի 26-ին, ժամը 15:30-ին
11:31:12 25-03-2026
«Նոր Դարաշրջան» կուսակցությունը մտադիր է մասնակցել առաջիկա խորհրդարանական ընտրություններին
10:51:27 25-03-2026
Քարոզարշավ՝ պատերազմի սպառնալիքի տակ. ինչո՞ւ է Փաշինյանը հրաժարվում էթնիկ զտման փաստից
10:23:49 25-03-2026
Նոր օդանավակայան Հրազդանում և էժան պարտք. «ՀայաՔվե»-ի ծրագիրն իրատեսակա՛ն է
10:16:45 25-03-2026
Երբ ներքաղաքական լարվածությունը դառնում է միջազգային քննարկման առարկա
10:06:05 25-03-2026
Պատմության ջնջման վտանգը. արդյո՞ք հերթը հասել է նաև ազգային հիշողությանը
9:45:34 25-03-2026
Անվտանգություն՝ ոչ թե կարգախոս, այլ համակարգ. «Ուժեղ Հայաստանի» այլընտրանքային օրակարգը
0:49:58 25-03-2026
Այսօր «Համահայկական ճակատ» շարժման անդամները` ղեկավար Արսեն Վարդանյանի գլխավորությամբ, Ազգային ժողովի մուտքի մոտ էին
0:04:04 25-03-2026
Մենք այլևս թույլ չենք լինի. պատրաստվում ենք վաղը կայանալիք «Ուժեղ խաղաղություն» միջազգային համաժողովին
23:55:56 24-03-2026
Գորիսի թիվ 4 մանկապարտեզի խոհանոցի արտադրական գործունեությունը կասեցվել է. ՍԱՏՄ
23:32:30 24-03-2026
Երևան-Սևան ճանապարհին բախվել են «Opel Zafira»-ն և «Opel Astra»-ն
Ամբողջ լրահոսը »
Բլոգ
Մեր պետության քարտեզը հենց դուք եք անարգում՝ այն դարձնելով ձեզ համար քարոզչական գործիք. Էդմոն Մարուքյան
Իրանի դեմ Ամերիկայի և Իսրայելի կողմից սանձազերծված պատերազմը անխուսափելիորեն ավարտվելու է Իրանի լիակատար հաղթանակով. Խաչիկ Ասրյան
Հայաստանում գործում է դեղերի թանկացման մաֆիա. Հրայր Կամենդատյան
Մենք ճիշտ էինք, դուք՝ սխալ․ «Հայաստանը ես եմ» նախաձեռնության մերժված առաջարկը դարձավ օրենքի փոփոխություն. Նաիրի Սարգսյան
Արցախի վերահայացումն անհերքելի իրավունք է՝ ազգային առաջնահերթություն, և դա փոխելն անհնար է. Աննա Կոստանյան
Հարցում
Ամենադիտված
2026-03-19 14:19:31
Իշխանությունը փորձում է Սահմանադրություն փոխել Ադրբեջանի հրահանգով․ Հրայր Կամենդատյան
1
2026-03-20 14:33:20
Բագրատ Միկոյանի ուժեղ կշտացնող առաջարկը Ն.Փաշինյանին
2
2026-03-19 20:09:45
Իրանի 20 միլիոն ադրբեջանցիներից պատկերացնո՞ւմ եք գան Սյունիք, դեմոգրաֆիան կարող է փոխվել (տեսանյութ)...
3
2026-03-20 21:25:42
Ժողովուրդ ջան, դե, ասեք տեսնեմ՝ ինչիպիսի՞ ղեկավար եք ուզում ունենալ
4
2026-03-22 18:47:05
Հայ մայրիկի հետ, տղայի ներկայությամբ մատ թափ տալով խոսացողը պետք է չլինի մեզ վարչապետ. չլինի ու վեր...
5