Երևան, 10.Ապրիլ.2026,
00
:
00
ՄԵՆՅՈՒ
Դեռ կա՞ն մարդիկ, ովքեր հավատում են Փաշինյանին. «Փաստ» Ի՞նչ հետևանքներ կունենա Հայաստանի համար Մերձավոր Արևելքում հակամարտության սրացումը. «Փաստ» «Սրանից դաժան ցավ չկա, բայց ավագ որդի ունենք, հանուն նրա պետք է ապրենք». Շոթա Գևորգյանն անմահացել է հոկտեմբերի 28-ին Շեխերում. «Փաստ» Կադաստրի կոմիտեն առաջարկում է փոփոխություններ գույքի նկատմամբ իրավունքների և սահմանափակումների պետական գրանցման գործընթացում. «Փաստ» Գնաճի պատճառները և հետևանքները Հայաստանում. ի՞նչ է սպասվում սպառողին. «Փաստ» Թուրքմենչայից մինչև այսօր. Ռուսաստանի ուղերձները և տարածաշրջանային հավասարակշռության ճգնաժամը. «Փաստ» Անհաղորդ չպետք է մնան. «Փաստ» «Ընդդիմությունն ունի լուրջ հնարավորություններ՝ առաջիկա ընտրություններում հաղթանակ գրանցելու». «Փաստ» Եթե այդքան վստահ են, ինչո՞ւ են այդքան... վախեցած. «Փաստ» Դատարկ տներ, կորած սուբսիդիաներ. «Փաստ»


Բժիշկները թաքցնում են սա. ազատվեք կարիեսից մեկ բաղադրիչի օգնությամբ

Lifestyle

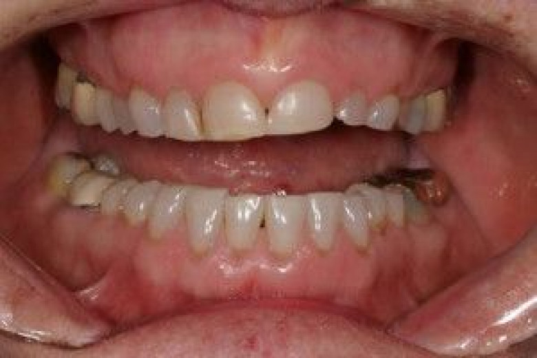
Կարիեսն ատամի կոշտ հյուսվածքներում ընթացող բարդ, դանդաղ պաթոլոգիական գործընթաց է, որն առաջանում է անբարենպաստ արտաքին և ներքին գործոնների հետևանքով: Խոռոչների վնասվածքի առաջացման վրա ազդող հիմնական գործոններն են՝ բերանի խոռոչի անբավարար հիգիենան, ծխելը, սթրեսը, սննդի շատ օգտագործումը, շաքարով հարուստ մթերքների օգտագործումը և այլն: Որպես կանոն՝ կարիես ունեցող ատամը ոչ մի կերպ չի տարբերվում, և կարող եք նույնիսկ չիմանալ, որ կարիես ունեք: Սակայն որոշ ժամանակ անց կարիեսով վնասված ատամը կարող է սկսել քայքայվել և առաջացնել ատամի ցավ, զգայնություն սառը կամ տաք սննդի նկատմամբ:

Այս նշանների առաջացման դեպքում պետք է անհապաղ արդյունավետ բուժում ձեռնարկեք կարիեսից ազատվելու համար: Հակառակ դեպքում կարող եք կորցնել ատամը: Ամենակարևոր բաղադրիչներից մեկը, որի կարիքն ունեն ատամները, կալցիումն է: Բոլորս գիտենք, որ կալցիումի ամենահարուստ աղբյուրը ձվի կեղևն է:

Եթ կարիեսի խնդիր ունեք, ձեզ պետք կլինի ձվի կեղևից ատամի մածուկ: Վերցրեք քառորդ բաժակ փոշիացրած կեղև, որը կարող եք ստանալ կեղևը բլենդերով մանրացնելով: Այդ փոշին խառնեք մի քանի կաթիլ անանուխի յուղի և 2 ճ. գ. կոկոսի յուղի հետ: Լավ խառենք բոլոր բաղադրիչները, ավելացրեք 1 ճ. գ. կերակրի սոդա: Շարունակեք խառնել բաղադիչները, մինչև մածուկ ստացվի: Մածուկը պահեք լավ փակած տարայով: Մածուկն օգտագործեք օրը 3 անգամ և կազատվեք ատամնաբուժական խնդիրներից:

Հայոց գալիք հաղթանակն այլընտրանք չունի ու դա կարող է իրականացնել միայն ուժեղ առաջնորդը. Թ. Առաքելյան Երեկ «Առաջարկ Հայաստանին» ծրագրի շնորհանդեսի ժամանակ ականատես եղանք համընդհանուր ոգևորության ու բացառիկ դրական մթնոլորտի. Արման ԱբովյանԱրցախը սկուտեղի վրա Ադրբեջանին նվիրել է Նիկոլ Փաշինյանը Պրահայում․ Նաիրի Սարգսյան Փաշինյանը գործի է գցում «մոլդովական սցենարը» Կգնա՞ Փաշինյանը Մոսկվա, թե՞ ոչ. կախված է ընտրողից Ինչո՞ւ է հետաձգվել ամերիկյան պատվիրակության այցը Հայաստան Վերականգնվող էներգետիկան գրեթե հասել է համաշխարհային հզորության կեսին Մեկնարկում է Ucom-ի և Իմփաքթ Հաբ Երևանի կանաչ ֆելոուշիփի երրորդ փուլը Բռնցքամարտիկ Էրիկ Իսրայելյանը Մոնրեալում անցկացված մենամարտում հաղթանակ է տարել չիլիացի բռնցքամարտիկ Ֆրանկո Ֆիլգեյրայի նկատմամբՅունիբանկը մեկնարկել է «Հրավիրի՛ր ընկերներիդ և ստացի՛ր բոնուս» ակցիան Մեր առաջարկած Հայաստանում մեզ միավորում է Հայաստանի շահը․ Գագիկ ԾառուկյանՖասթ Բանկի աջակցությամբ բարեգործական համերգ է տեղի ունեցել Դեսպան Նարեկ Մկրտչյանը մասնակցել է Դոնալդ Թրամփի առանձնատանը կազմակերպված ընդունելությանը Հայաստանի տարածքի մի մասը շարունակում է ռազմակալված լինել Ադրբեջանի կողմից․ Ավետիք Քերոբյան«Միասնության թևեր»-ը և «ՀայաՔվե»-ն, որոնք փետրվարի 27-ին հուշագիր էին ստորագրել՝ հունիսի 7-ի ընտրություններին միասնական հանդես գալու, որոշել են ավարտել համատեղ աշխատանքը Այն մասին, թե որտեղ են վատնվում մեր բյուջեի միջոցները, և ինչպես դրանք վերադարձնել ժողովրդին. Ավետիք ՉալաբյանTeam Holding․ ավարտվել է դոլարային պարտատոմսերի տեղաբաշխման երկրորդ փուլը. տեղաբաշխող՝ Freedom Broker Armenia «Ռուսաստանը ձեզ հետ է»․ Երևանում Լեռնային Ղարաբաղից տեղահանվածներին տրամադրվել է մարդասիրական օգնություն Ֆասթ Բանկն ամփոփել է 2025 թվականը բարձր ցուցանիշներով Ազատության հրապարակում՝ միասնության կոչ․ «Ուժեղ Հայաստանը» հրավիրում է հանրահավաքի Հրդեհ Արճիս գյուղում Պարտքի ծանր բեռը․ աճող թվեր և նվազող կյանքի որակ Ուկրաինական թեմայով Ռուսաստանի և ԱՄՆ-ի միջև շփումները շարունակվում են ոչ ֆորմալ և գաղտնի պայմաններում. ԼավրովՄեկ տարվա ընթացքում մինուս 5.1 միլիարդ դոլար, 14.5 միլիարդ դոլար պարտք, 74% վերաարտահանում. Հայաստանի աղետի թվաականըԻրանի դեմ ԱՄՆ-ի և Իսրայելի զինվшծ ագրեuիայի ընթացքում Իրանում զnhվել է ավելի քան 3,000 մարդ. իրանցի պաշտոնյաՓոփոխությու´ն` միայն Հայաստանի հաջորդ վարչապետ Սամվել Կարապետյանի հետ․ Տիգրան ԱբրահամյանՄիասնության հանրահավաք Ազատության հրապարակում․ Գառնիկ ԴավթյանՊատերազմի ելքը և Հայաստանի հարավային դարպասը. Էկզիստենցիալ վտանգներ և շանսեր. Էդմոն ՄարուքյանԻսրայելի ինքնապաշտպանnւթյան իրավունքը չի արդարացնում Լիբանանում նման մաuշտաբային ավերածnւթյnւնները․ ԿալլասԿոտրում ենք ՔՊ-ականների սուտ միֆերը․ Գոհար ՂումաշյանԱնվտանգության փոփոխություն՝ իրական, երկարաժամկետ խաղաղություն` ուժի և դիվանագիտության միջոցով․ «Ուժեղ Հայաստան»Եթե կա մի թիմ, որն ունակ է հաղթել «Ատլետիկոյին» հենց Մադրիդում, ապա դա «Բարսելոնան» է․ ԱրաուխոՊետական պարտքի սպասարկումը չպետք է լինի այսքան թանկ և անարդյունավետ․ Ավետիք ՉալաբյանՀայաստան–Իրան․ ռազմավարական գործընկերություն՝ որպես տարածաշրջանային կայունության գործոն (տեսանյութ)Միասնության հանրահավաք․ շտկենք թիկունքներս՝ միասնաբար ու համերաշխորեն․ Գոհար ՄելոյանՌԴ նախագահի հետ հանդիպումը ծրագրում ենք նաև հունիսի 2-րդ կեսին, ՀՀ-ՌԴ հարաբերությունները գտնվում են կառուցողական տրանսֆորմացիայի փուլում․ ՓաշինյանՄիասնության ու փոփոխությունների հանրահավաք․ ապրիլի 11֊ին,ժամը 17.00,Ազատության հրապարակ․ Մամիկոն ԱսլանյանԱկնհայտ է որ սա վախի դրսևորում է․ Ալեն ՂևոնդյանՇղթայական ավտովթար՝ Երևանում. բախվել են թիվ 14 երթուղին սպասարկող ավտոբուսը, «Toyota»-ն, «BMW»-ն և «Ford»-ըԳալու՞ ես, թե՞ թույլ ես տալու, որ քո ապագան շարունակի որոշել այն մարդը, որի համար ընդամենը «թվաբանություն» էր մեր տղաների կյանքը. Մարիաննա ՂահրամանյանԱպրիլի 11-ին ժամը 17:00,Վայրը` Ազատության հրապարակ․ միասնության հանրահավաք․ Արեգա Հովսեփյան«Համահայկական ճակատ» կուսակցությունը հայտարարություն է տարածելՀռոմի պապ Լևոն XIV-ի սիրելի բեյսբոլի թիմը երկրպագուներին նվիրում է «պապական» «White Sox» գլխարկներ «Բեզռազմեր» չեն փողոցները, բայց հույս կա՞, որ մի բան կարողանանք անենք այս խցանումների հարցում. Փաշինյանը՝ Ավինյանին«Ընկերոջը» շտապ գումար է հարկավոր․ IDBank-ը զգուշացնում է սոցիալական ցանցերում վստահության շահագործման մասինԲոլորս միասին, ապրիլի 11-ին, ժամը 17:00-ին, Ազատության հրապարակում. Լիաննա Գասպարյան«Առաջարկ Հայաստանին» ծրագրի և թիմի շնորհանդեսԱպրիլի 11-ին՝ ժամը 17:00-ին, բոլորս հավաքվում ենք Ազատության հրապարակում․ մեծ փոփոխություն՝ Սամվել Կարապետյանի հետ․ Շիրազ ՄանուկյանՓիթի և Ջոլիի 19-ամյա դուստրը նկարահանվել է հարավկորեացի երգչի տեսահոլովակում Բոլորս միասին ասում ենք՝ STOP Փաշինյան. ապրիլի 11-ին, ժամը 17:00-ին, Ազատության հրապարակում. Ալիկ Ալեքսանյան