Երևան, 09.Ապրիլ.2026,
00
:
00
ՄԵՆՅՈՒ
ԱՄՆ-ի և Իրանի միջև գործող hրադադարը դեռևս փխրուն է. Վենս «Մեծ քաղաքականություն». էպիզոդ չորրորդը՝ այսօր ժամը 20-ին Մի ներողությունը չի փրկի Անդրանիկ Քոչարյանին Սուտ խաղաղության թեզերը մեզ հասցնելու են նոր ցեղասպանության. Արշակ Կարապետյան Փակելով դպրոցները՝ հայաթափում են սահմանամերձ գյուղերը․ Արմեն Մանվելյան Դեղերի ոլորտում պետք է մշակվի նոր քաղաքականություն՝ ի սպաս մեր ժողովրդի առողջության․ Արեգ Սավգուլյան Պահանջում եմ Անդրանիկ Քոչարյանից` վայր դնել պատգամավորական մանդատը ու հեռանալ քաղաքականությունից․ Արտյոմ Սիմոնյան Մեկն արդեն ապացուցել է, որ կարող է, մյուսը՝ որ չի կարող․ ո՞ւմ ընտրել․ Տիգրան Դումիկյան Խոսում են ԵԱՏՄ կազմից դուրս գալու մասին… գոնե պատկերացնո՞ւմ են, թե դա ինչ է նշանակում. Հո սիրուն խոսքեր ասելով չի՞. Գագիկ Ծառուկյան Մենք կփոխենք մեր ընթացքը․ Փոփոխությունը հնարավոր է միայն Սամվել Կարապետյանի հետ


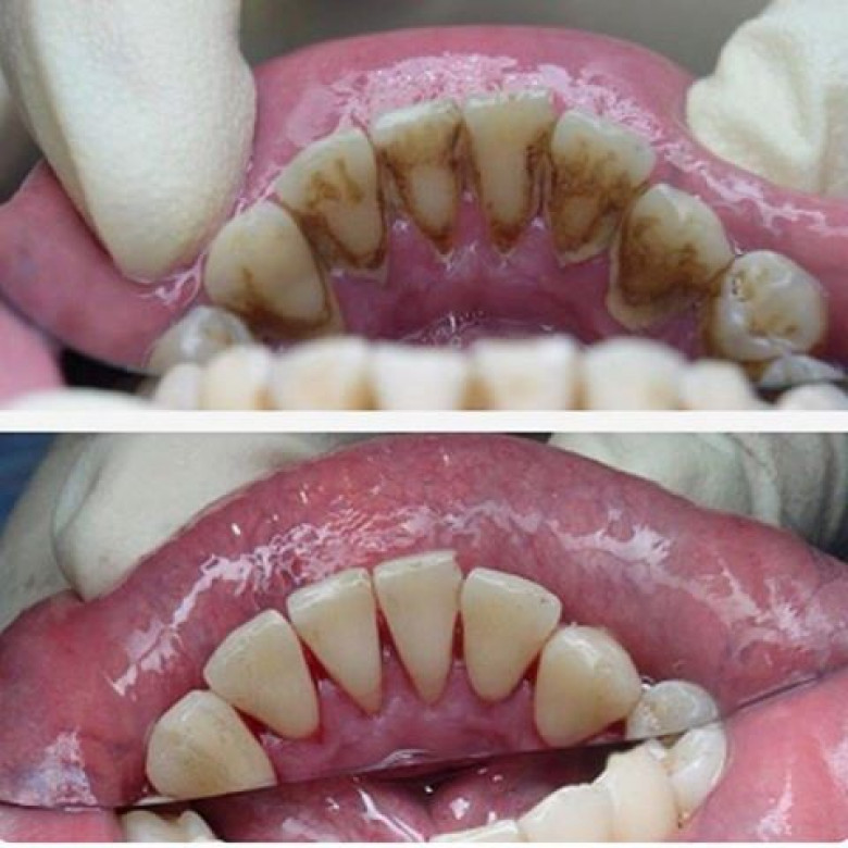
Արդյունավետ տնային հեղուկ բերանը ողողելու համար, որն ընդամենը 2 րոպեում վերացնում է ատամնափառը

Lifestyle

Փառը բակտերիաների կպչուն, անգույն թաղանթ է, որը ձևավովում է ատամների վրա: Դա կարիեսի և լնդերի հիվանդության առաջացման հիմնական պատճառն է և կարող է ատամնաքարի վերածվել ամեն օր չհեռացվելու դեպքում:

Բերանը ողողելու հեղուկը բերանի խոռոչի հիգինեիկ գործողությունների բաղադրիչ է:

Այն նվազեցնում է փառը, պայքարում է բակտերիաների դեմ, մաքրում է մերանի խոռոչը, շնչառությունը թարմացնում է:

Ներկայացնում ենք բերանը ողողելու տնային միջոց, որն արդյունավետ է և ոչ թանկարժեք:

Նատրիումի բիկարբոնատը սպիտակեցնելու և բծերը վերացնելու հզոր հատկություններ ունի, ուստի այն հաճախ օգտագործում են ատամները մաքրելու համար:

Այն նաև ունի հակաբակտերիալ հատկություն, որը վերացնում է ատամնաքարը և միկրոբները, որոնք կարիեսի և բերանից տհաճ հոտի պատճառ են:

Բաղադրիչները՝

  • 1 ճ. գ. կերակրի սոդա
  • ½ թ. գ. աղ
  • ½ բաժակ ջրածնի պերօքսիդ
  • 1 բաժակ սառը ջուր
  • ½ բաժակ տաք ջուր
  • ատամի խոզանակ
  • ատամի փայտիկներ

Պատրաստումը՝

Խառնեք աղն ու սոդան, ատամի խոզանակը թրջեք տաք ջրով: Խառնուրդը լցրեք ատամի խոզանակի վրա և մաքրեք ատամները: Հետո թքեք: Սա կրկնեք 2 րոպե:

Հետո խառնեք ջրածնի պերօքսիդը և տաք ջուրը և այդ լուծույթն օգտագործեք 1 րոպե բերանը ողողելու համար: Վերջում ատամի փայտիկներ օգտագործեք ատամների մեջտեղի ատամնաքարերը մաքրելու համար: Լվացեք սառը ջրով:

Լրացուցիչ խորհուրդներ՝

Երբեք չպետք է կուլ տաք բերանը ղողելու հեղուկը, քանի որ այն կարող է վնասակար բաղադրիչներ պարունակել:

Ատամենրը մաքրեք առնվազն օրական 3 անգամ ատամի որակյալ մածուկով:

Կծու սնունդը խթանում է թքագեղձերի աշխատանքը, իսկ թուքը բնական ճանապարհով ախտահանում է բերանի խոռոչը:

Տիրանոզավր Ռեքսի կաշվե պայուսակը աճուրդի է հանվել՝ 670,000 դոլար մեկնարկային գնով Խամենեին թույլ չի տա համաձայնագիր ստորագրել ԱՄՆ-ի հետ, եթե նրանք չընդունեն Իրանի պայմաններըՉի կարող երկրի արտաքին քաղաքականությունը հակառակվել երկրի տնտեսական շահերին․ Ռոբերտ Քոչարյան Երբ տնտեսությունը ուժեղ է, կարող ես բերել ուժեղ, կայուն և երկարատև խաղաղություն․ փոփոխությունը` միայն Սամվել Կարապետյանի հետ․ Ուժեղ ՀայաստանԱՄՆ-ը պատրաստ է հեշտությամբ վերադառնալ nւժային սցենարին. Թրամփ Ասել Ռուսաստանին՝ դու ճանաչել ես Արցախը Ադրբեջանի կազմում, ես էլ եմ ճանաչել, աբսուրդային իրավիճակ է․ սա սեփական մեղքերը ուրիշների գրպանը գցել է․ Ռոբերտ ՔոչարյանIDBank-ը մասնակցեց ՀԲՄ մարզային համաժողովին՝ ներկայացնելով ՓՄՁ ոլորտի համար նորարար գործիքներըԱՄՆ-ի և Իրանի միջև գործող hրադադարը դեռևս փխրուն է. Վենս Հայաստան–Իրան․ ռազմավարական գործընկերություն պետությունների միջև և արժեքային ընդհանրություն ժողովուրդների միջև. Արման ՎարդանյանՄրցաշարի գլխավոր ուղերձը թմրամոլության և արատավոր երևույթների դեմ պայքարն է. Հովհաննես ԾառուկյանՎինիսիուսը գրառում է կատարել «Բավարիայից» կրած պարտությունից հետո Ռուսաստանի նախագահի հետ, այս տարիների ընթացքում, երբեք չի եղել գոնե մեկ կետ, որը կարող էր բերել անվստահության․ Ռոբերտ ՔոչարյանԻրանը կարող է 64 միլիարդ դոլար վաստակել Հորմուզի նեղուցով նավերի անցումից Փաշինյանի նպատակն այն էր, որ բոլորին ցույց տար, որ ինքը այն մարդն է, որին բոլորն ընդունում են. Ռոբերտ ՔոչարյանՍոֆի Մխեյանը նշում է ծննդյան տարեդարձը Մայրության և գեղեցկության օրը մեծ շուքով ու ջերմությամբ նշվեց Պլեխանովի անվան համալսարանի Երևանի մասնաճյուղում (տեսանյութ) Հյուսիսային Կորեան hրթիռ է արձակել Ճապոնական ծովի ուղղությամբ Հիմա ինքնիշխան ենք, թե՞ ինքնիշխան չենք․ Էդմոն ՄարուքյանԱմբողջ խմբակցությունով առավոտից երեկո մեզնից եք խոսում. էս ի՞նչա քաղաքի վիճակը, ամոթը լավ բանա․ Ալիկ ԱլեքսանյանՀայաստանը լինելու՛ է ազատ, ժողովրդավարական և ուժեղ պետություն. Մուրազ ՇամոյանԿոմպանին մեկնաբանել է Չեմպիոնների լիգայում «Ռեալի» նկատմամբ տարած հաղթանակը Ագրեuիվ հարձակման մոտեցումը պարտnւթյուն կրեց. Զախարովան՝ Իրանի և ԱՄՆ-ի միջև hրադադարի մասինԵրևանում մեկնարկել է Doing Digital չորրորդ ֆորումըՈւսուցիչները՝ Ուժեղ Հայաստանում. Նարեկ ԿարապետյանՀրադшդարը չի ներառում Լիբանանը․ Նեթանյահու Մեծ օր է համաշխարհային խաղաղության համար․ Իրանը կարող է սկսել վերակառուցման գործընթացը, մենք պարզապես «կսպասենք», որպեսզի համոզվենք, որ ամեն ինչ լավ կընթանա․ ԹրամփԿոնվերս Բանկը՝ ՓՄՁ համաժողովումՊատերազմի մասին թեզը բացարձակ կեղծիք է․ Ավետիք Չալաբյան Պաշտպանական ներուժի բարձրացումը պատկերացնում ենք եռաստիճան համակարգով․ Նաիրի ՍարգսյանՄիրզոյանը Կալասից հետաքրքրվել է խոստացված գումարներից «Մեծ քաղաքականություն». էպիզոդ չորրորդը՝ այսօր ժամը 20-ինՄի ներողությունը չի փրկի Անդրանիկ Քոչարյանին Սուտ խաղաղության թեզերը մեզ հասցնելու են նոր ցեղասպանության. Արշակ ԿարապետյանՍամվել Կարապետյանի աջակցությամբ Հայաստանի ազգային պոլիտեխնիկական համալսարանում գերազանցության գերժամանակակից կենտրոններ հիմնվեցին. «Ուժեղ Հայաստան»Փակելով դպրոցները՝ հայաթափում են սահմանամերձ գյուղերը․ Արմեն ՄանվելյանՆախարարներին 7-ական միլիոն պարգևավճար, իսկ թոշակառույին 10 հազար. Վանաձոր. ԼՈՌԻ Փաշինյանը հունիսի 7-ին նորից կստանա՞ ժողովրդի քվեն. Գյումրի. ՇԻՐԱԿ Ի՞նչ կասեք Փաշինյանին, եթե տեսնեք. Գյումրի. ՇԻՐԱԿ Դեղերի ոլորտում պետք է մշակվի նոր քաղաքականություն՝ ի սպաս մեր ժողովրդի առողջության․ Արեգ ՍավգուլյանՊահանջում եմ Անդրանիկ Քոչարյանից` վայր դնել պատգամավորական մանդատը ու հեռանալ քաղաքականությունից․ Արտյոմ ՍիմոնյանՄեկն արդեն ապացուցել է, որ կարող է, մյուսը՝ որ չի կարող․ ո՞ւմ ընտրել․ Տիգրան Դումիկյան Մինչև 25% idcoin IDBank-ի պրեմիում քարտերով ավիատոմսեր գնելիս«Շառլոտ» ակումբի տնօրենն աշխատակցին առաջարկել է գումարի դիմաց սեռական հարաբերություններ ունենալ տարբեր անձանց հետԽոսում են ԵԱՏՄ կազմից դուրս գալու մասին… գոնե պատկերացնո՞ւմ են, թե դա ինչ է նշանակում. Հո սիրուն խոսքեր ասելով չի՞. Գագիկ Ծառուկյան Մենք կփոխենք մեր ընթացքը․ Փոփոխությունը հնարավոր է միայն Սամվել Կարապետյանի հետԱկբա բանկը և ամերիկյան Interactive Brokers-ը համաձայնագիր են ստորագրել ԵՄ-ում էներգիայի 47.3 տոկոսն ապահովել են վերականգնվող էներգիայի աղբյուրներըԻշխանության քայլերը հանգեցնելու են ավելի մեծ ըմբոստության երիտասարդների շրջանում․ Աննա ԿոստանյանՎախը ստիպում է Փաշինյանին արագ արձագանքել, բայց դա իրականությունից փախուստի արձագանք է․ Մարիաննա Ղահրամանյան Ինչի պետք է պատրաստ լինի հայ մարդը սեփական հայրենիքում արժանապատիվ ապրելու իրավունքը պաշտպանելու համար․ Ավետիք Չալաբյան