Հզոր միջոց, որը պայքարում է ատամնաքարի դեմ ուլտրաձայնից 100 անգամ ավելի լավ
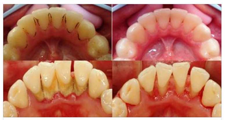
LifestyleԱմեն օր ուտելուց հետո ատամների վրա բարակ թաղանթ է գոյանում՝ ատամնափառ: Այն ժամանակին չմաքրելու դեպքում ժամանակի ընթացքում կամրանա և կարող է վերածվել ատամնաքարի:
Իսկ բակտերիաները որոշակի թթուներ են անջատում, որոնք վնասում են էմալը:
Դրա մեջ անցքեր ձևավորելով՝ բակտերիաները հասնում են ատամի ներս և կարիես են առաջացնում:
Այսպիսի խնդիրներից խուսափելու համար խորհուրդ ենք տալիս օգտվել ստուգված միջոցներից և մեկընդմիշտ ազատվել ատամնաքարից:
Ատամնաքարի հեռացում
Կռատուկի արմատով և լոբու կեղևով թուրմ
Բաղադրիչները՝
- 1/2 թ. գ. կռատուկի չոր արմատ
- 1/2 թ. գ. լոբու չոր կեղև
- 200 մլ ջուր
Պատրաստումը՝
1. Կռատուկի արմատը և լոբու կեղևը լցրու ոչ մեծ տարայի մեջ, վրան եռացած ջուր լցրու:
2. Թող միջոցը թրմվի մեկ օր:
Այս ժամանակից հետո կարելի է թուրմն ընդունել 1-ական ճ. գ. օրական 3 անգամ: Աշխատիր միջոցը մի քանի րոպե պահել բերանիդ խոռոչում:

Ծիծեռնախոտի թուրմ

Բաղադրիչները՝
- 1 թ. գ. ծիծեռնախոտ
- 200 մլ ջուր
Պատրաստումը՝
1. Ծիծեռնախոտի վրա եռացած ջուր լցրու:
2. Թող միջոցը թրմվի 30 րոպե, հետո քամիր:

Բերանիդ խոռոչը ողողիր այս միջոցով օրական 3 անգամ:
Աշխատիր թուրմը հնարավորինս շատ պահել բերանումդ:
Պետք է թուրմերը պատրաստել 2 ամիս տեսանելի արդյունքի հասնելու համար: