Երևան, 05.Ապրիլ.2026,
00
:
00
ՄԵՆՅՈՒ
Ընկերներ էին, մեկը մոտոյով առաքում էր անում. Քանաքեռ ՀԷԿ-ում ջրահեղձ եղած տղաների մտերիմ Տարադրամի փոխարժեքները ապրիլի 4-ին Ի՞նչ է վճարում Հայաստանը պատրանքների համար ու ի՞նչ կստանա իրականում. «Փաստ» Զիջում Ադրբեջանին և ճնշում ազգային ինքնության վրա. Փաշինյանն ընդդեմ հայ հասարակության գերակշիռ մասի. «Փաստ» «Բարի, ընկերասեր, կենսուրախ, կյանքի մարդ էր Էրիկս». Էրիկ Սայադյանն անմահացել է հոկտեմբերի 15-ին՝ Մերձարաքսյան հովտի Արաքսավան տեղանքի թեժ մարտերի ժամանակ. «Փաստ» Արևմտյան ճամբարի տրոհումն ու բազմաբևեռության նոր համակարգը. «Փաստ» Ճգնաժամ, որը լուրջ վտանգ է ներկայացնում պարենային անվտանգության համար. «Փաստ» Աշխարհաքաղաքական լարախաղացություն՝ «կոճի թելի» վրա. «Փաստ» «Ամենակարևորն է՝ չպառակտել արցախցիներին և վստահ լինել, որ արցախցին այս իշխանություններին ձայն չի տալու». «Փաստ» Ընտրությունների գլխավոր ռիսկերից մեկը ձայների փոշիացումն է. «Փաստ»


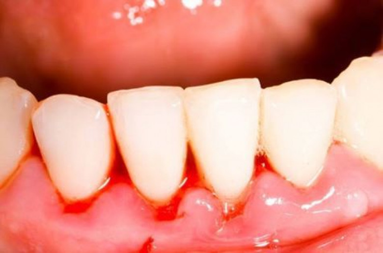
Հիվանդություններ, որոնց վաղ ախտանշան կարող է լինել լնդերի արնահոսությունը

Lifestyle

Լնդերի անրնահոսությունը  ոչ միշտ է, որ բերանի խոռոչի վարակների ու կարիեսի նշան է: Երբեմն այն հանդիսանում է ավելի վտանգավոր հիվանդության, օրինակ ՄԻԱՎ–ի ազդանշան: Մասնագետները ներկայացրել են, թե ինչու ոչ մի դեպքում չի կարելի անտեսել լնդերի արնահոսությունը:   

1. Շաքարային դիաբետ

Գոյություն ունի ուղիղ կապ շաքարային դիաբետի ու պերիոդոնտոզ հիվանդության, այդ թվում նաև գինգիվիտի(հարատամնային հյուսվածքի բորբոքային հիվանդություն)մեջ: Լնդերի արնահոսությունն առհասարակ շաքարային դիաբետի առաջին նախանշաններից է: Լնդերի առատ արնահոսության դեպքում, գրեթե հնարավոր չէ կառավարել արյան մեջ շաքարի մակարդակը:  

2. Թրոմբոցիտոպենիա

Սա արյան մեջ թրոմբոցիտների դեֆիցիտն է: Այն առաջացնում է հյուսվածքների ու լնդերի  արնահոսություն, կապտուկների առաջացում ու վնասվածքներից հետո արյան դանդաղ մակարդելիություն:   Այն կարող է առաջացնել նաև բերանի խոռոչում ուռուցքներ: Այս հիվանդության դեպքում, անգամ աննշան վնասվածքների առաջացումը կարող է հրահրել արնահոսություն:  

3. Լեյկեմիա

Լեյկեմիայի առաջին իսկ ախտանշաններից են գինգիվիտն ու լնդերի արնահոսությունը: Սա շատ ծանր վիճակ է, որը պահանջում է շտապ  բժշկական միջամտություն: Եթե դուք պահպանում եք բերանի խոռոչի նորմալ հիգիենան, սակայն արնահոսությունը շաբաթից ավել շարունակվում է, ապա դիմեք ատամնաբույժի:  

4. ՄԻԱՎ

ՄԻԱՎ վարակով հիվանդների 90%-ը բախվում է բերանի խոռոչի հետ կապված որևէ հիվանդության հետ, այդ թվում լնդերի արնահոսության հետ: Սակայն դա չի նաշանակում, որ այն հանդիսանում է ՄԻԱՎ-ի  պարտադիր նախանաշան:  

5. Գինգիվիտ

Գիգվիտը  կարող է առաջնալ նաև հղիության հետևանքով, քանի որ այդ վիճակում հաճախակի լնդերի մոտ նկատվում է արնահոսություն կամ գերզգայուն վիճակ: Հղիության հորմոնները կարող են առաջացնել լնդերի այտուցներ ու բորբոքում, որն էլ և հրահրում է արնահոսության առաջացում: 

Իրանական ուժերը հրթիռ են արձակել, որի վրա գրված է եղել Էփշտեյնի պատճառով ինքնասպանություն գործած Վիրջինիա Ջուֆրեի մասին«Մատանիների տիրակալը» նոր ֆիլմում Արագորնի խորհրդանշական դերը կմարմնավորի այլ դերասանՔուվեյթում հարձակման է ենթարկվել CH-47 Chinook ուղղաթիռը Երաշտն ամբողջ աշխարհում մեծացնում է հակաբիոտիկների նկատմամբ կայունությունը․ հետազոտություն«Ժառանգություն» կուսակցության 14-րդ համագումարի բանաձևՀնդկաստանը հայտնել Է Իրանից նավթի անխափան մատակարարումներ ստանալու մասին Անի Երանյանի նոր ֆոտոշարքը «Ուժեղ Հայաստան» կուսակցության խորհրդի նախագահ Նարեկ Կարապետյանն ու կուսակցության անդամները Մայր Աթոռ Սուրբ Էջմիածնում մասնակցել են Ճրագալույցի պատարագինՄինչ այս պահը Իրանի 30 համալսարաններ են թիրախավորվել ԱԹՍ-ները հարված են հասցրել Իրաքի Հյուսիսային Ռումայլա նավթավայրին. վիրավորվել է երեք բանվորԱդրբեջանը չի կարող լինել հայի ու Հայաստանի անվտանգության երաշխավորը․ Արթուր ՄիքայելյանՊրեմիերա․ Սպիտակցի Հայկո և Միլենա Սադոյան - «Քեզ համար» Փոփոխություն` միայն Սամվել Կարապետյանի հետ.«Ուժեղ Հայաստան» կուսակցությունը Ուջանում «Ազատություն» կուսակցությունը սատարելու է «Ուժեղ Հայաստանին». Հրանտ ԲագրատյանՆիկոլ Փաշինյանն ընտրվել է «Քաղաքացիական պայմանագիր» կուսակցության վարչապետի թեկնածուՄեր բարեկամ և եղբայրական ժողովուրդները դարեր շարունակ աջակցել են միմյանց և կշարունակեն միասին լինել թե՛ ուրախ, թե՛ դժվարին օրերին․ Ալիևը՝ Փեզեշքիանին«Համահայկական ճակատ» շարժման առաջնորդ, գեներալ-մայոր Արշակ Կարապետյանի շնորհավորական խոսքը Հարության տոնին«Փախածը, կրկնում եմ, վարչապետի կողմից նշանակված, ծննդով ղարաբաղցի` կոչումով գեներալ-լեյտենանտ Ասրյան Էդիկն է»․ Նառա ԳևորգյանՌոնալդուն խփեց կարիերայի 966-րդ և 967-րդ գոլերըՆարեկ Կարապետյանը խմբակիցների հետ Աշտարակում էՄենք չենք մասնակցում ընտրությանը, որ ընդդիմադիր ուժերը համախմբվեն, այս չարիքից ազատվենք. Շարմազանով «ՀայաՔվե» միավորումը շնորհավորում է բոլորիս Հայ Առաքելական եկեղեցու Մեր Տեր և Փրկիչ Հիսուս Քրիստոսի Հրաշափառ Հարության օրվա առիթով «Ուժեղ Հայաստան» կուսակցության առաջնորդ Սամվել Կարապետյանի տնտեսական ու անվտանգային ծրագրերը կուսակցության անդամները ներկայացնում են Արագածոտնի մարզում«Կայունություն» կուսակցությունը կսատարի «Ուժեղ Հայաստան Սամվել Կարապետյանի հետ» դաշինքին Դպրոցականին կալանավորելով՝ Փաշինյանն ուզում է ցույց տալ, որ իշխանություն ունի․ Ավետիք ՉալաբյանIDBank-ը ԵՊՀ-ի արցախցի 103 ուսանողի 35 մլն դրամի չափով կրթաթոշակ կտրամադրի ՎՏԲ-Հայաստան Բանկը պարզեցրել է ավտովարկավորման գործընթացն առաջնային շուկայիցԴեղերի գրանցումը միտումնավոր վերածել են տարիներ տևող փորձության․ Հրայր ԿամենդատյանԿոնվերս Բանկը՝ Family ընկերության վստահելի ուղեկից«Ուժեղ Հայաստան» կուսակցության անդամների հաջորդ կանգառը Արագածոտնի մարզում Ոսկեվազ համայնքն էՈւժեղ Հայաստանի ուժեղ Աշտարակ. Նարեկ Կարապետյան ԶՊՄԿ–ի նախաձեռնությամբ ու ջանքով Կապանի տարածքում կկառուցվի մանկական ամառային ճամբար Ակադեմիական քաղաքը փուչիկ է, որը պայթելու է ընտրություններից անմիջապես հետո․ Ատոմ Մխիթարյան«Ուժեղ Հայաստան» կուսակցության անդամները Արագածոտնի մարզում ենՓաշինյանը նոր հրահանգ է իջեցրել քպականներին Հանրայինը վերածվել է իշխանության «մուրճի» «Սորոսականները» խիստ դժգոհ են ՔՊ ընտրական ցուցակից Բանկերի գերշահույթը պետք է գնա թոշակների բարձրացմանը. Հրայր ԿամենդատյանՇատ ավելի հաճելի է լսել քաղցր սուտը, քան դառը ճշմարտությունը. գործող իշխանությունը հենց այդ տրամաբանությամբ է կառուցում իր թեզերը․ Նաիրի ՍարգսյանԴեղերի բարձր գների մզված հարկերից մի երկու կոպեկով խաբում են թոշակառուներին. Հրայր ԿամենդատյանԵկել է փակագծերը բացելու ժամանակը․ Արշակ Կարապետյան «Կայունություն» կուսակցության հայտարարությունը 2026 թ. Համապետական ընտրություններում «Ուժեղ Հայաստան» կուսակցությանը սատարելու մասին Փաշինյանի ու Պուտինի հանդիպման հետնաբեմը ինչ վտանգների և ռիսկերի մասին են լռում իշխանությունները. Էդմոն Մարուքյան Այս իշխանությունն առաջնորդվում է բնազդով, պետք է լինենք ուժեղ և դիմակայենք․ Մենուա ՍողոմոնյանՉկարողացանք արժևորել մեր հաղթանակը և չհասունացանք անկախության համար․ Լիլիթ ԱրզումանյանՓոփոխություն` ամուր և երկարատև խաղաղությամբ, միայն Սամվել Կարապետյանի հետ. Ուժեղ Հայաստան Արվարձան, սայլ, թե կուզիկ. ի՞նչ կապ ունեն այս բառերը հանրահայտ «ազնվական» փողոցի հետ. «Փաստ»Պուտինի հետ հանդիպումից հետո տուժելու են բեռնափոխադրողները Ընկերներ էին, մեկը մոտոյով առաքում էր անում. Քանաքեռ ՀԷԿ-ում ջրահեղձ եղած տղաների մտերիմ Չինացի գիտնականները մի քանի առաջընթաց են գրանցել արևային էներգիայի ոլորտում