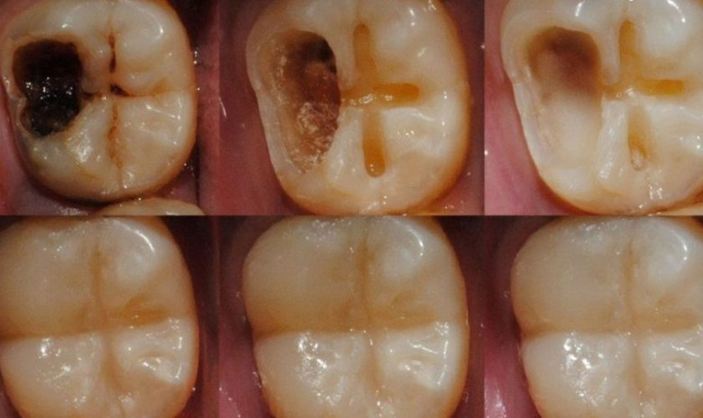
Ընդամենը 5 քայլ կարիեսը կանգնեցնելու և ատամները փրկելու համար
LifestyleՆերկայացնում ենք 5 քայլ՝ կարիեսը կանգնեցնելու և ատամները փրկելու համար:
1. Խուսափեք ֆիտինաթթու պարունակող մթերքների օգտագործումից
Այն պարունակում են լոբազգիները, ընկուզեղենը, սերմերը և հատիկեղենը:
Թթուն վերացնելու համար լոբազգիները, ընկուզեղենը, հատիկեղենը թրջեք ջրի և 1 ճ. գ. քացախի կամ կիտրոնի թթվի լուծույթի մեջ, թողեք գիշերը մնա:
2. Սննդանյութերով հարուստ մթերքներ օգտագործեք
Դա կօգնի կանխել կամ բուժել կարիեսը: Պետք է ուտեք կանաչ տերևավոր բանջարեղեն և օգտակար ճարպեր՝ ձիթապտղի յուղ, կոկոսի յուղ, ավոկադո և այլն:
3. Ավելի քիչ քացր կերեք
4. Ողողում յուղով
Բերանը մոտ 20 րոպե լվացեք 1 ճ. գ. հում օրգանական կոկոսի յուղով, հետո յուղը թքեք:
Սկսեք 5 րոպեից, պրոցեդուրան պարբերաբար արեք:
5. Ատամները հանքայնացված ատամի մածուկով մաքրեք
Պետք է ատամները մաքրեք առանց ֆտորիդների մածուկով՝ բերանի խոռոչի առողջությունը պահպանելու համար: Բայց այդ ատամի մածուկը կարող է թանկ արժենալ:
Կարող եք սեփական մածուկ պատրաստել:
Բաղադրիչները՝
- Քառորդ թ. գ. կերակրի սոդա
- 3 ճ. գ. դիատոմիտի փոշի
- Քառորդ թ. գ. բուրավետ քլորոֆիլ,
- Քառորդ թ. գ. անանուխի էքստրակտ,
- Կես թ. գ. հում օրգանական կոկոսի յուղ,
- 1 ճ. գ. ֆիլտրացված ջուր:
Պատրաստումը՝
Խառնեք բոլոր բաղադրիչները: