Երևան, 31.Մարտ.2026,
00
:
00
ՄԵՆՅՈՒ
Կապիտուլյացիա, ազգային շահերի դավաճանություն, արտաքին ճնշման ներգործություն. «Փաստ» Հակամարտությունը կարո՞ղ է զիջել իր տեղը պրագմատիկ մոտեցմանը. «Փաստ» Հայաստանի ճակատագիրը որոշվելու է կա´մ Երևանում, կա´մ Բաքվում, հունիսի 7-ի ընտրությունները հենց դրա մասին են․ Վահե Հովհաննիսյան «Ինձ ուժ տվեց հպարտությունը, որ նման որդի ենք դաստիարակել. նա հայրենիքը վեր դասեց ամեն ինչից». կամավոր Արմեն Միրգիյանն անմահացել է հոկտեմբերի 6-ին. «Փաստ» Իրական քաղաքականությունը միշտ ավելի բարդ է, քան գաղափարախոսական կարգախոսները. «Փաստ» Տնտեսության ստվարացող խոցելի միտումները. «Փաստ» «Ընդդիմությունը հիմա ճիշտ է գործում. հիմնական ընդդիմադիր ուժերը շատ գրագետ գիծ են վարում». «Փաստ» Առողջության համընդհանուր ապահովագրության համակարգի շահառուների թիվը կավելանա, նախատեսվում է վարչական նոր պատասխանատվություն. «Փաստ» Նախ՝ կարելի է հայելու առջև կանգնել.... «Փաստ» Նորից ակտիվացնում են հայհոյախոսությունը, չարությունն ու ատելությունը. «Փաստ»


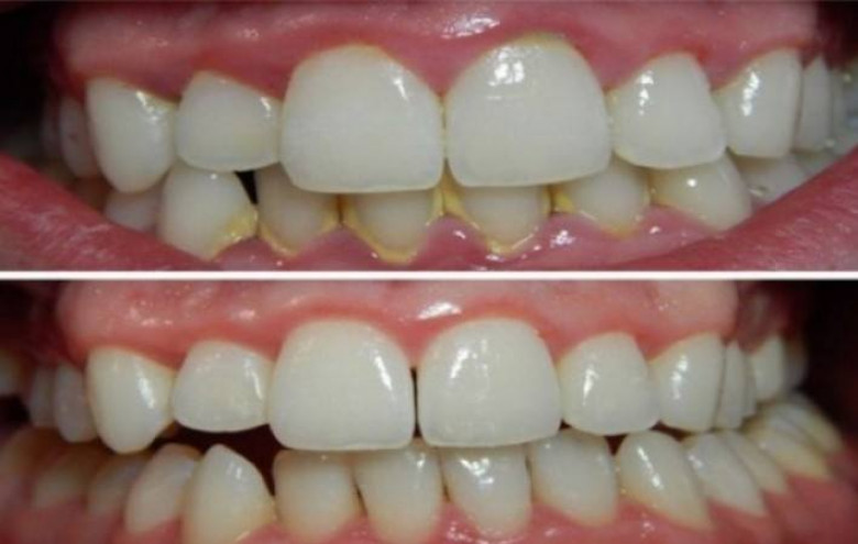
Խառնուրդ, որը 5 րոպեում կվերացնի ատամների փառը

Lifestyle

Ատամները մարմնի ամենակարևոր մասերից է, որը մենք խնամում ենք ամեն օր։ Ոչ պատշաճ խնամքի դեպքում ատամների վրա առաջանում է փառ՝ ծանր նյութ, որն ունի դեղին գույն, և տհաճ տեսք է հաղորդում ատամներին։

Այս միջոցը կօգնի ազատվել ատամների փառից մի քանի րոպեում։

Անհրաժեշտ բաղադրիչներն են՝

• Սոդա
• Ջրածնի պերօքսիդ
• Աղ
• Տաք ջուր
• Ատամի խոզանակ
• Ատամի փայտիկ
• Բերանի հականեխիչ հեղուկ (Listerine):

Կիրառման եղանակը

1․ 1 ճաշի գդալ սոդան ու կես թեյի գդալ աղը խառնել։ Ատամի խոզանակը թրջել տաք ջրով, թաթախել աղի ու սոդայի խառնուրդի մեջ և քսել ատամներին ու խոզանակով լվանալ 5 րոպե։
2․ 1 բաժակ տաք ջրի մեջ լցնել մի փոքր ջրածնի պերօքսիդ, խառնել և ողողել բերանը մի քանի րոպե, բերանից թափել խառնուրդն ու ողողել սառը ջրով։
3․ Ատամների փառը քերել ատամի փայտիկի միջոցով՝ զգուշանալով լնդերից։
4․ Բերանը ողողել հականեխիչ հեղուկով։

Այս պրոցեդուրան կատարել 2 օրը մեկ անգամ և ամբողջովին կազատվեք ատամների փառից ու կունենաք սպիտակ ատամներ։

 

 

ԻՀՊԿ-ն Պարսից ծոցում խnցել է իսրայելական բեռնատար նավ Ամենամեծ պռովոկատորը ամենուր փնտրում է պռովոկացիա. Արշակ ԿարապետյանԻրակլի Կոբախիձեն և Մարկո Ռուբիոն քննարկել են Հարավային Կովկասում Վրաստանի՝ որպես ուժեղ գործընկերոջ դերի ուժեղացման կարևորությունըՉկա տղա, որ իր մորը չպաշտպանի, կադրերն էլ ուշադիր զննեք. ընդդիմություն, դու հանկարծ ծպտուն չհանես․ Արշակ Կարապետյան Ո՛չ, տիկին Հակոբյան, մեր զինվորները դասալիք չեն. Արթուր ԱվանեսյանԻսրայելը ԱՄՆ-ին հետախnւզական տվյալներ է տրամադրել Հորմուզի նեղուցի վերաբերյալ. Times of Israel«ՀայաՔվեն» մշտապես պաշտպանել է հայ ազգի և յուրաքանչյուր հայի իրավունքները․ Ավետիք ՉալաբյանԿարևորում ենք մարզերում բնակիչների հետ անմիջական շփումները․ Մենուա Սողոմոնյան.Համախմբումն այլընտրանք չունի․ հանուն՝ անվտանգ, արժանապատիվ, բարեկեցիկ և ուժեղ Հայաստանի․ Նաիրի ՍարգսյանԱշտարակը դարձավ Քրիստոսի արձանի կառուցմանը նվիրված «Մենք մասնակիցն ենք պատմության կերտմանը» ֆոտոցուցահանդեսի արդեն 5-րդ կանգառըԱյս իշխանություններն իրագործում են Բաքվի և Անկարայի թելադրած օրակարգը․ Ատոմ ՄխիթարյանԱդրբեջանը հետևողականորեն կեղծում է պատմությունը՝ Փաշինյանի աջակցությամբ ՏԵՍԱՆՅՈՒԹ. «Ուժեղ Հայաստան»-ը դաշինք կազմեց երկու ուժերի հետ Քրեական գործ դպրոցականների նկատմամբ Ընդդիմության բաժանվածությունը՝ իշխանության գլխավոր առավելությունը Փոփոխությունը գալու է Սամվել Կարապետյանի ուժով. քաղաքական գործիչները անցած ճանապարհ պիտի ունենան. Նարեկ Կարապետյան Ես ուղղակի հիացած եմ, որ առայսօր, ում հետ հանդիպել եմ, որևէ մեկը չի դրել մանդատի կամ ցուցակի տեղի խնդիր. Գագիկ Ծառուկյան «Ուժեղ Հայաստան» կուսակցությունը առաջիկա խորհրդարանական ընտրություններին կմասնակցի դաշինքով, որը կկոչվի «Ուժեղ Հայաստան Սամվել Կարապետյանի հետ» Ինչ ունենք մենք այսօր, դա մեր քաղաքական համակարգի անկատարության արդյունքն է եղել. Նարեկ ԿարապետյանՓոփոխությունը գալու է Կարապետյանի ուժով. Նարեկ Կարապետյան Ռուսաստանի կոշտ մերժումը Փաշինյանին Սուտասաննե՛ր, ասե՛ք, որ գաղտնի որոշել եք անկլավները տալ, ինչի՞ եք տեղափոխում ՀՀ - Վրաստան գազատարը Պաշտոնյաների պարգևավճարների համար գումար կա, իսկ խոցելի խմբերի համար՝ չկա․ Հրայր ԿամենդատյանԶՊՄԿ-ի` երբեք կանգ չառնող հոսքագծերը. ի՞նչ ճանապարհ է անցնում հանքաքարըԽաղաղության գործընթացի և անվտանգության երաշխիքների մասին. Էդմոն Մարուքյան «ՀայաՔվեն» հաստատակամ է` պաշտպանելու իրավական կամայականության թիրախում հայտնված մեր բոլոր հայրենակիցների իրավունքներըՏեր ենք կանգնելու մեր իրավունքներին․ Արսեն ԳրիգորյանԱշխարհի ամենագաղտնաշատ կառույցներից մեկը՝ Սթոունհենջ. «Փաստ»Փաշինյանն անեծքով է խոսում. չարության կասա հիշեցնող գլխի արգասիք է. Կամենդատյան Այն մասին, թե ինչ է պատրաստ մեր բոլորի հաշվին զոհաբերել գործող վարչախումբը՝ սեփական իշխանությունը մի կերպ երկարաձգելու համար. Ավետիք ՉալաբյանՊԱՏՄՈՒԹՅԱՆ ԱՅՍ ՕՐԸ (31 ՄԱՐՏԻ). Արցախում կայացել են նախագահական ընտրություններ, ազատագրվել է Դադիվանքը. «Փաստ»MPEI–ի գիտնականները մշակել են նոր սերնդի արևային մարտկոցների արտադրությունը պարզեցնելու միջոց Պատրաստ ենք գրազ գալ յուրաքանչյուրի հետ՝ «Ուժեղ Հայաստանն» ընտրելու է Սամվել Կարապետյանին. Նարեկ Կարապետյան Կապիտուլյացիա, ազգային շահերի դավաճանություն, արտաքին ճնշման ներգործություն. «Փաստ»Մեր հասարակությունը պետք է որոշի կամ Փաշինյանն է, կամ Կարապետյանն է․ երկու մեծ այլընտրանք կա այսօր․ Նարեկ Կարապետյան (տեսանյութ) Ձայների մասնատումը՝ իշխանության օգտին․ ընդդիմությանը կոչ է արվում միավորվել ընտրություններից առաջ Սփյուռքը կանգնում է եկեղեցու կողքին․ Դոնի Ռոստովում հարյուրավոր հայեր աջակցություն են հայտնում կաթողիկոսին Զինվորը կստանա աշխատավարձ․ հարկերը փոքր բիզնեսի համար կդարձնենք 0 տոկոս․ Նարեկ Կարապետյանը՝ վարչապետ Սամվել Կարապետյանի կառավարության առաջին նիստում ընդունվելիք որոշումների մասին (տեսանյութ) Հայաստանի խաղաղությունը հաստատվելու է ուժեղ դիվանագիտությամբ՝ Սամվել Կարապետյանի առաջնորդությամբ Ապառիկով հեռուստացույց գնել չկարողացող Արարատ Միրզոյանի ժիլետի գինը ավելի քան 2 մլն դրամ է Հակամարտությունը կարո՞ղ է զիջել իր տեղը պրագմատիկ մոտեցմանը. «Փաստ»Հայաստանի ճակատագիրը որոշվելու է կա´մ Երևանում, կա´մ Բաքվում, հունիսի 7-ի ընտրությունները հենց դրա մասին են․ Վահե Հովհաննիսյան Իրանը հերոսաբար պաշտպանում է ոչ միայն իրեն, այլև բոլոր անկախ և ինքնիշխան պետություններին՝ Դոնալդ Թրամփի արևմտյան միաբևեռ գերիշխանությունից. Խաչիկ Ասրյան«Ինձ ուժ տվեց հպարտությունը, որ նման որդի ենք դաստիարակել. նա հայրենիքը վեր դասեց ամեն ինչից». կամավոր Արմեն Միրգիյանն անմահացել է հոկտեմբերի 6-ին. «Փաստ»Իրական քաղաքականությունը միշտ ավելի բարդ է, քան գաղափարախոսական կարգախոսները. «Փաստ»Տնտեսության ստվարացող խոցելի միտումները. «Փաստ»«Ընդդիմությունը հիմա ճիշտ է գործում. հիմնական ընդդիմադիր ուժերը շատ գրագետ գիծ են վարում». «Փաստ»Առողջության համընդհանուր ապահովագրության համակարգի շահառուների թիվը կավելանա, նախատեսվում է վարչական նոր պատասխանատվություն. «Փաստ»Նախ՝ կարելի է հայելու առջև կանգնել.... «Փաստ»«Սրտիկով» պաստառներով հեղեղել են հանրապետությունը. «Փաստ»