Ереван, 26.Март.2026,
00
:
00
ՄԵՆՅՈՒ
Эксперт из Ирана заявил о возможной операции против ОАЭ и Бахрейна в случае наземного вторжения США Армянские фигуристы Карина Акопова и Никита Рахманин The Telegraph: Президент Германии сравнил Трампа с Путиным Экс-омбудсмен Армении назвал поведение Пашиняна поведением человека, лишенного мужской чести Саакашвили заявил о «рейдерском захвате» Грузинской церкви Цены на нефть упали более чем на 4% Американское издание The San Diego Union-Tribune опубликовало большой материал об Армении С начала войны с Ираном в Израиле были госпитализированы более 5000 человек Владимир Варданян избран судьей Конституционного суда Армении Целенаправленные действия против арцахцев координируются на государственном уровне: Гехам Степанян


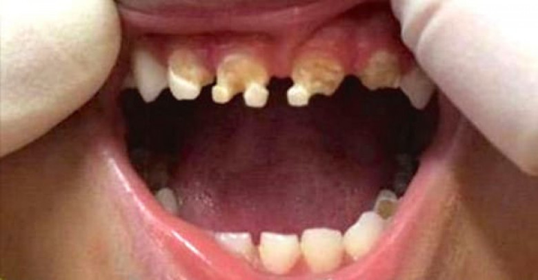
Когда врач увидел зубы 3-летнего ребенка, он задал матери всего один вопрос…

Lifestyle

Чтобы у взрослого человека не возникло кариеса, нужно проводить профилактику еще в детстве. К сожалению, одной регулярной чисткой зубов не обойтись, ведь главная причина неприятной болезни — кариесогенные бактерии.

Этими бактериями взрослые заражают детей, передавая их через поцелуи и столовые приборы. Родители очень часто допускают роковые ошибки в отношении здоровья собственных детей…
профилактика кариеса у детей

Профилактика кариеса

Некоторые папы и мамы сами не особо любят чистить зубы и не заставляют проделывать эту процедуру свое чадо. Бывают и другие крайности: родители заставляют детей полоскать рот содовым раствором для полного уничтожения бактерий. От этого нестойкая эмаль разрушается и кариес быстро уничтожает маленькие зубки.
профилактика кариеса в домашних условиях

Также не стоит забывать, что сахар — лучший друг кариеса. Даже напитки, на упаковке которых есть надпись «без сахара», всё же содержат его, пусть и не в таком большом количестве. Мама из Новой Зеландии поила 3-летнего ребенка колой без сахара, а в результате стоматологу пришлось вырвать мальчику 11 зубов!
профилактика кариеса молочных зубов

ПРИЧИНЫ КАРИЕСА У ДЕТЕЙ

  1. Стрептококковые бактерии, передающиеся от родителей ребенку.
  2. Заболевания и стресс во время беременности, прием антибиотиков.
  3. Неполноценное питание.
  4. Несоблюдение гигиены рта.
  5. Частое и длительное по времени употребление сладкого.

Вот несколько дельных рекомендаций от опытного стоматолога, которые помогут избежать кариеса и детям, и взрослым. Мы считаем своим долгом об этом рассказать!

ПРОФИЛАКТИКА КАРИЕСА ЗУБОВ

  1. Регулярно чисти зубы не только щеткой, но и зубной нитью.
  2. Никогда не ешь сладкое в качестве последнего блюда. Сладости нужно заедать твердыми овощами или фруктами, после этого полоскать рот и жевать жевательную резинку, содержащую ксилит.
  3. Не ешь сладости, не пей сладкие газированные напитки между приемами пищи.
  4. Никогда не ешь сладкое на ночь.
  5. Слишком сладкие и слишком кислые напитки пей через соломинку.
Еще одно предвыборное «видение», необходимость в котором год назад «отсутствовала»: «Паст»Анекдот бывшего министра обороны об «оружии Никола»: «Паст»60 миллионов долларов США: Америабанк присоединился к финансированию строительства дата-центра ИИ Firebird в Армении Народ — с Церковью: в поддержку Святого Эчмиадзина петиция за рекордно короткое время собрала 50 000 подписей: «Паст»От «возвращения миллиона» к репарациям: требования Баку ужесточаются, Ереван — молчит. Нахапетян Курс финансовой грамотности в ЕГУ: Idram и IDBankЭксперт из Ирана заявил о возможной операции против ОАЭ и Бахрейна в случае наземного вторжения СШАПлан ликвидации Армении. Что скрывается за термином «Западный Азербайджан»?Армянские фигуристы Карина Акопова и Никита РахманинThe Telegraph: Президент Германии сравнил Трампа с ПутинымЭкс-омбудсмен Армении назвал поведение Пашиняна поведением человека, лишенного мужской честиСаакашвили заявил о «рейдерском захвате» Грузинской церквиЦены на нефть упали более чем на 4% Американское издание The San Diego Union-Tribune опубликовало большой материал об АрменииС начала войны с Ираном в Израиле были госпитализированы более 5000 человекВладимир Варданян избран судьей Конституционного суда АрменииОт Арцаха к Еревану: следующий этап азербайджанской экспансииКогда земля уходит из-под ног: «Паст»Новая манипуляция «войной» и «миром»: «Паст»Соответствуют ли действительности «тревожные звонки» о том, что в продуктах питания находят «камень и металл»? «Паст» Журнал Global Finance признал Америабанк лучшим банком года в Армении Угроза национальной идентичности армянского народа: «Паст»IDBank предупреждает о мошенничестве под видом удаленной работыЦеленаправленные действия против арцахцев координируются на государственном уровне: Гехам СтепанянОтказ в поездке Гарегина II вызвал негативную реакцию: адвокатTasnim: Иран готовит новые сюрпризы, Трампу следует оторваться от телефона и смотреть в небоМИД РФ: Лавров и Арагчи обсудили ситуацию с конфликтом вокруг ИранаAl Jadeed: Израиль обстрелял фосфорными боеприпасами Рас-эн-Накуру на юге Ливана Трамп: Переговоры с Ираном будут идти всю неделю: военные удары отложены на 5 днейОрбан: спецслужбы Украины прослушивали телефон главы МИД ВенгрииГлава МИД отказался комментировать запрет властей на участие Католикоса в похоронах Патриарха ГрузииКонфликт вокруг Ирана взвинтил цены на российскую нефть более чем на 70% МИД: Армения и Турция обсуждают возможность учреждения стипендий для студентов двух стран в собственных вузахИран заявил об атаках на объекты США и союзников на Ближнем Востоке За два месяца девять лет восполнится? «Паст»Освещения мероприятия блока «Армения» набрали около 15 миллионов просмотров: «Паст»Только стыд и позор из-за властей: «Паст»Кто такой Марио Науфал, которому дал интервью Нарек Карапетян? «Паст»Движение «Нет “Западному Азербайджану”» обратилось к еврокомиссару Марте Кос: вопрос суверенитета Армении поставлен ребром Наапетян: выборы превращаются в референдум — за «кандидата Азербайджана» или против В Иране заявили, что нанесли удар по израильским топливозаправщикамВозвращение или экспансия: что стоит за вопросом азербайджанских переселенцев? Иранский удар по базе Али аль‑Салем: 3 кувейтских Eurofighter уничтожены, 2 итальянских поврежденыТатоян - Пашиняну: Соберите свои «сердечки» и «смайлики» и готовьтесь стать бывшимГроссмейстер Айк Мартиросян стартовал с двух побед на международном турнире в ТашкентеБиблиотека Русской Общины АрменииВ КСИР отметили, что страна даже во время войны с США и Израилем продолжает производство боеприпасов WSJ: Трамп намерен пересмотреть иммиграционную политику страныГосдеп: более 70 тыс. американцев покинули Ближний Восток после ударов по ИрануСила одного драма присоединяется к заключительному этапу проекта «Симфонический лес»