Ереван, 24.Март.2026,
00
:
00
ՄԵՆՅՈՒ
Целенаправленные действия против арцахцев координируются на государственном уровне: Гехам Степанян Отказ в поездке Гарегина II вызвал негативную реакцию: адвокат Tasnim: Иран готовит новые сюрпризы, Трампу следует оторваться от телефона и смотреть в небо МИД РФ: Лавров и Арагчи обсудили ситуацию с конфликтом вокруг Ирана Al Jadeed: Израиль обстрелял фосфорными боеприпасами Рас-эн-Накуру на юге Ливана Трамп: Переговоры с Ираном будут идти всю неделю: военные удары отложены на 5 дней Орбан: спецслужбы Украины прослушивали телефон главы МИД Венгрии Глава МИД отказался комментировать запрет властей на участие Католикоса в похоронах Патриарха Грузии Конфликт вокруг Ирана взвинтил цены на российскую нефть более чем на 70% МИД: Армения и Турция обсуждают возможность учреждения стипендий для студентов двух стран в собственных вузах


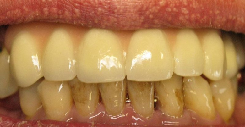
Дедушка за 72 года ни разу не был у стоматолога… Он просто 3 раза в неделю применяет ЭТО средство!

Lifestyle

Твое лицо — это первое, на что обращает внимание другой человек. А лучезарная улыбка, как известно, может быть ключом к достижению многих целей. Она символизирует не только оптимизм и настроение, но и может многое рассказать о здоровье и привычках человека.

Ключевую роль здесь играет состояние зубов. Они могут темнеть и портиться, даже если ты не злоупотребляешь сладким и курением. Ведь темные напитки и продукты тоже влияют на оттенок зубов.

 

Если каждый твой поход к стоматологу не обходится без стресса, ты боишься испортить качество своих зубов или у тебя просто нет средств на лазерное отбеливание, редакция «Так Просто!» расскажет тебе об отличном дедовском способе. Еще никогда отбеливание зубов в домашних условиях не было настолько легким!

Домашний способ отбеливания зубов

ТЕБЕ ПОНАДОБИТСЯ

 

  • 2/3 стакана яблочного уксуса
  • 1/3 стакана воды
  • зубная паста
  • зубная щетка

 

  1. Смешай уксус и воду.
  2. Прополощи этой жидкостью полость рта на протяжении одной минуты. Повтори 2–3 раза. Ни в коем случае не глотай. Можно дополнительно протереть потемнения на эмали ватной палочкой, смоченной в растворе.
  3. После прополощи полость рта теплой водой.
  4. Почисти зубы привычным способом с помощью щетки и зубной пасты.

 

Повторяй процедуру не более трех раз в неделю. Яблочный уксус не очень приятный на вкус, но полученный результат полностью оправдает этот маленький недостаток. Ведь эмаль очистится достаточно быстро и приобретет естественную белизну. Этот метод не усиливает чувствительности зубов и не раздражает десны.

  
 

Добиться белоснежной улыбки в домашних условиях возможно, если поставить себе цель и регулярно проделывать описанную выше процедуру. Поделись информацией с друзьями, им это тоже будет полезно!

 

IDBank предупреждает о мошенничестве под видом удаленной работыЦеленаправленные действия против арцахцев координируются на государственном уровне: Гехам СтепанянОтказ в поездке Гарегина II вызвал негативную реакцию: адвокатTasnim: Иран готовит новые сюрпризы, Трампу следует оторваться от телефона и смотреть в небоМИД РФ: Лавров и Арагчи обсудили ситуацию с конфликтом вокруг ИранаAl Jadeed: Израиль обстрелял фосфорными боеприпасами Рас-эн-Накуру на юге Ливана Трамп: Переговоры с Ираном будут идти всю неделю: военные удары отложены на 5 днейОрбан: спецслужбы Украины прослушивали телефон главы МИД ВенгрииГлава МИД отказался комментировать запрет властей на участие Католикоса в похоронах Патриарха ГрузииКонфликт вокруг Ирана взвинтил цены на российскую нефть более чем на 70% МИД: Армения и Турция обсуждают возможность учреждения стипендий для студентов двух стран в собственных вузахИран заявил об атаках на объекты США и союзников на Ближнем Востоке За два месяца девять лет восполнится? «Паст»Освещения мероприятия блока «Армения» набрали около 15 миллионов просмотров: «Паст»Только стыд и позор из-за властей: «Паст»Кто такой Марио Науфал, которому дал интервью Нарек Карапетян? «Паст»Движение «Нет “Западному Азербайджану”» обратилось к еврокомиссару Марте Кос: вопрос суверенитета Армении поставлен ребром Наапетян: выборы превращаются в референдум — за «кандидата Азербайджана» или против В Иране заявили, что нанесли удар по израильским топливозаправщикамВозвращение или экспансия: что стоит за вопросом азербайджанских переселенцев? Иранский удар по базе Али аль‑Салем: 3 кувейтских Eurofighter уничтожены, 2 итальянских поврежденыТатоян - Пашиняну: Соберите свои «сердечки» и «смайлики» и готовьтесь стать бывшимГроссмейстер Айк Мартиросян стартовал с двух побед на международном турнире в ТашкентеБиблиотека Русской Общины АрменииВ КСИР отметили, что страна даже во время войны с США и Израилем продолжает производство боеприпасов WSJ: Трамп намерен пересмотреть иммиграционную политику страныГосдеп: более 70 тыс. американцев покинули Ближний Восток после ударов по ИрануСила одного драма присоединяется к заключительному этапу проекта «Симфонический лес»Специальное предложение от Idram&IDBank в Далма Гарден МоллеСюник под угрозой: от стратегических уступок к демографическим последствиям Руководство Ucom отмечает Международный день клиентов вместе с абонентами Какие «инструменты» используют власти? «Паст»Потеря памяти или преднамеренность? «Паст»«Лакмусовая бумажка» для оппозиционного поля и избирателей: «Паст»«Такие люди сами у себя в шахматы выигрывают»: Захарова раскритиковала выступление Пашиняна в ЕвропарламентеАзербайджанцы разрушили воинские мемориалы в селе Хнацах в АрцахеСюникцы обеспокоены: ситуацией вокруг Ирана могут воспользоваться враждебные силы, создавая риски через проникновение этнически опасных элементов Иран пригрозил «сжечь дотла» всю энергоинфраструктуру врагаЦены на нефть выросли после ударов по нефтегазовым объектам ИранаIDBank и Idram продолжают сотрудничество с образовательным фондом ЗаркВ небе над США взорвался семитонный метеорФонд развития «Керон» и фонд «Музыка во имя будущего» сотрудничают во имя молодых талантовНАТО размещает дополнительную систему Patriot в ТурцииЧужой пазл: как Армению встраивают в чужие геополитические проекты, превращая в Западный Азербайджан Азербайджан на грани втягивания в региональную войну: геополитический сценарий и риски Татоян: Мир возможен только тогда, когда ты силен и можешь защитить себяИзраиль разбомбил Ливан: есть погибшие, разрушено здание в центре БейрутаНа мир обрушатся беспрецедентно высокие температурыПрезидент Кубы ответил на угрозы США: Любой внешний агрессор столкнется с непреодолимым сопротивлениемАйвазян: западные покровители могут подтолкнуть Баку к действиям против Ирана