Ереван, 30.Январь.2026,
00
:
00
ՄԵՆՅՈՒ
Politico: Франция первоначально была против внесения КСИР в список террористов Рейс из Краснодара в Ереван отменен AP: число погибших из-за последствий снежной бури в США выросло до 85 человек МИД РФ: Брюссель рано или поздно потребует от Еревана антироссийского курса The Times: Британия внесет КСИР в список запрещенных организаций РПЦ обеспокоена вмешательством властей Армении в дела Армянской апостольской церкви «Свобода»: ЕС одобрил выделение Армении 20 млн евро из Европейского фонда мира ЕК выделила странам Балтии и Польше €113 млн на защиту критической инфраструктуры Армения и Кувейт обсудили перспективы сотрудничества в технологическом секторе Американский техногигант Amazon анонсировал сокращение 16 000 рабочих мест


В МЦ «Астхик» сотрудничестве с благотворительным фондом «Вива» внедряют новый метод удаления аденом гипофиза

Общество

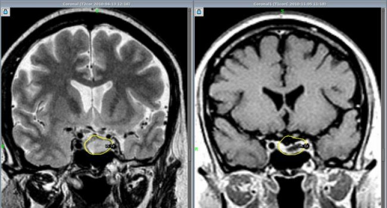
Аденома гипофиза – это доброкачественное новообразование, которое может крайне негативно сказываться на качестве жизни, вызывая нарушения со стороны эндокринной системы, а также нарушения зрения.

До недавних пор такие новообразования в МЦ «Астхик» удаляли с применением хирургического микроскопа. Теперь в медцентре внедряют и другой метод удаления аденом гипофиза – с помощью эндоскопа. Этот метод до недавних пор в Армении не применялся, и обучать ему специалистов в рамках одного из проектов благотворительного фонда «Вива» будет известный нейрохирург Вилен Азизян (Россия). В медицинском центре «Астхик» он уже провел три операции по удалению аденом гипофиза. Ассистировали ему армянские специалисты, которые в дальнейшем научатся проводить такие операции самостоятельно.

Аветис Киракосян, руководитель отделения нейрохирургии МЦ «Астхик», рассказал журналистам о том, что для внедрения эндоскопического метода удаления опухолей гипофиза был выбран медцентр «Астхик», так как материально-техническая база центра соответствует всем требованиям к проведению этих операций. Специалист уверен, что если в центре будут применяться оба метода, это поможет достигать более значительных результатов.

«В зарубежных медицинских центрах, где я проходил переподготовку, совмещают микроскопический и эндоскопический методы. После работы микроскопом проводят ревизию операционной области с помощью эндоскопа – без лишних разрезов через нос пациента вводят эндоскоп с камерой, осматривают область, иногда можно бывает обнаружить небольшие куски, которые остались вне поля зрения микроскопа, а эндоскоп может обеспечить более широкое поле зрения», - объяснил специалист.

По его словам, эндоскопическое удаление аденом гипофиза считается менее травматичным и менее инвазивным, чем микроскопическое удаление. Так или иначе, некоторым пациентам может потребоваться один из методов, некоторым – сразу оба, поэтому будет большим плюсом, если хирург будет одинаково хорошо владеть обоими методами.

Это далеко не первый проект, проводимый в Армении благотворительным фондом «Вива» (Врачи и волонтеры Армении). Татьяна Оганесян, председатель фонда, рассказала журналистам, что фонд был основан в 2016 году, с целью оказать помощь Арцаху и регионам Армении.

За пять лет фонд оснащал медицинским оборудованием госпитали и больницы страны, организовал образовательные программы и стажировки докторов. Многие врачи – члены фонда – регулярно приезжают в Армению, помогая и обучая коллег, проводя операции, помогая организовать реабилитацию раненых во время войны в Арцахе.

Как в свою очередь отметил попечитель фонда «Вива Георгий» Мелконян, главный врач 4 городской больницы Москвы, фонд проводит большую работу по обучению специалистов, чтобы врачи в Армении, овладевая новыми техниками и методами лечения, могли самостоятельно применять их в работе с пациентами и оказывать высококачественную помощь, не нуждаясь в помощи зарубежных коллег.

В дни войны в Арцахе 26 врачей фонда работали в разных полевых госпиталях – в Гадруте, Степанакерте, Мартуни, Мартакерте, Горисе, Мегри, Капане. В их числе были торакальные и сосудистые хирурги, реаниматологи, медсестры, и работали они на протяжении всей войны, сменяя друг друга.

Также во время войны фонд оказал материальную помощь в размере 2 млн долларов, 38 больниц получили медицинское оборудование.

В настоящее время фонд насчитается уже более 5000 членов, в числе которых более 700 врачей.

Пашинян, изменив внешний стратегический курс страны с России на Запад, разрушил нашу систему безопасности — Суренянц Idram и WeChat Pay запускают стратегическое партнерство в АрменииPolitico: Франция первоначально была против внесения КСИР в список террористовРейс из Краснодара в Ереван отмененAP: число погибших из-за последствий снежной бури в США выросло до 85 человекМИД РФ: Брюссель рано или поздно потребует от Еревана антироссийского курса The Times: Британия внесет КСИР в список запрещенных организацийИзвестные политики и эксперты обсудили новые вызовы безопасности Армении. Новый уникальный интерактивный формат круглого стола. Имена победителей третьего тура конкурса Junius известныВопрос о лишении их сана должен быть решен немедленно: «Паст»TRIPP — это большая авантюра и договоренность за спиной Армении. С любовью слушают ложь, которую... хотят услышать: «Паст»На самом деле пенсия не повысилась, а снизилась: «Паст»Почему прокуратура нарушает закон и не приносит извинений? «Паст»РПЦ обеспокоена вмешательством властей Армении в дела Армянской апостольской церкви«Свобода»: ЕС одобрил выделение Армении 20 млн евро из Европейского фонда мираИстинный праздник духа: Абрам Овеян поздравил Вооруженные силы Армении ЕК выделила странам Балтии и Польше €113 млн на защиту критической инфраструктурыДоктрина «Западного Азербайджана», по сути, совпадает с навязываемой властями концепцией «Четвёртой Республики» Армения и Кувейт обсудили перспективы сотрудничества в технологическом сектореАмериканский техногигант Amazon анонсировал сокращение 16 000 рабочих местПредставители МИД Армении и Литвы обсудили события на Южном КавказеНа сегодняшний день в Арцахе тоже всё спокойно,но без армян!Желание Азербайджана сделать Армению вассалом турецкого мира. Мы- воины нашего Отечества, и наш долг — обеспечивать безопасность нашего народа и могущество Армении Заместитель главного министра индийского штата Махараштра погиб в авиакатастрофеДепутат Сона Казарян избрана председателем подкомитета ПАСЕ по делам молодежи и будущего обществаАрмянская армия — это гордость армянской нации. Аршак КарапетянБывшую первую леди Южной Кореи приговорили к 20 месяцам за полученные в подарок предметы роскоши Как засуха разрывает Землю: назван неожиданный фактор ускорения распада Восточной АфрикиВ администрации Трампа впервые признали, что иммиграционные агенты, «возможно, нарушили протокол» в МиннеаполисеДля чего нужны представления с названием «литургия»? «Паст»«Цена мира»: Армения заплатила жизнями, территориями и национальным достоинством Отключения электроэнергии достигли возмутительных размеров, люди «запасаются» свечами: «Паст»«Законодательный» «штыковый бой» властей против реальных наблюдателей: «Паст»Кому и почему мешает название «Арарат 73»? «Паст»Почему Армения молча наблюдает за смертельными страданиями международного права? «Паст»Что подарить мужчинам 28 января: Idram&IDBankКомпания Idram провела урок финансовой грамотности для участников RobotonО платежах за услуги «Вива Армения» через IdramНовая Мишель Обама: смелый стиль, подтянутая фигура и сияющее лицоВремя близко и мы сделаем все «По-нашему»: послание Самвела КарапетянаЗеленский подтвердил новую трехстороннюю встречу на этой неделе«Аякве»: Власти Армении пытаются добиться отмены регистрации инициативы в качестве наблюдательной миссииМинистр: в 2025 году зафиксировано первое рождение олененка в дикой природеЕС готовит инвестиционный пакет в поддержку ГренландииАрмянский храм XV века в Феодосии под угрозой разрушениАзербайджан в 2025 году экспортировал в Армению топливо более чем на $788 тыс.Лидер партии обвинил власти в игнорировании угрозы «Западного Азербайджана»: «Прячут голову в песок» То, что делает Церковь, исходит только и только из интересов армянского народа и Армянской государственности: «Паст»Большая авантюра: что ждет долю США в размере 74 процентов? «Паст»