Երևան, 01.Մայիս.2026,
00
:
00
ՄԵՆՅՈՒ
Շտապում են փրկե՞լ Նիկոլ Փաշինյանին. ի՞նչ անուն է կրում առաջիկա գագաթաժողովը. «Փաստ» Անտեղյակ՝ ավարտված խնջույքի մթնոլորտից. գլուխը միայն գլխարկ կրելու համար չէ. «Փաստ» «Տան միակ ու շատ սիրված երեխան էր». Ժորա Փարսյանն անմահացել է հոկտեմբերի 14-ին Հադրութում, տուն «վերադարձել»... հինգ ամիս անց. «Փաստ» Էներգետիկ ճգնաժամի նախանշաններ. մատակարարման կարևոր ուղիների խաթարման ռիսկը. «Փաստ» «Եվրոպական կառույցները երկընտրանքի առջև են հայտնվել». «Փաստ» Չտեսնելու և չլսելու տալ չի հաջողվի. իրականությունից փախչել հնարավոր չէ. «Փաստ» Տնտեսական գերկենտրոնացման սեղմող օղակը. «Փաստ» «Նախնական զինվորական պատրաստվածություն» դասընթացը կփոխարինվի այլ առարկայով. նախագիծ. «Փաստ» Գնաճը նորանոր ռեկորդներ է սահմանում. «Փաստ» Նույնիսկ սատելիտներն են ընդունո՞ւմ, որ ՔՊ-ն ընդդիմություն է դառնալու. «Փաստ»


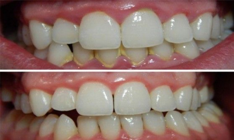
Խառնուրդ, որը 5 րոպեում կվերացնի ատամների փառը

Lifestyle
Life.panorama.am-ը գրում է.
 
Ատամները մարմնի ամենակարևոր մասերից է, որը մենք խնամում ենք ամեն օր։ Ոչ պատշաճ խնամքի դեպքում ատամների վրա առաջանում է փառ՝ ծանր նյութ, որն ունի դեղին գույն, և տհաճ տեսք է հաղորդում ատամներին։
 
Այս միջոցը կօգնի ազատվել ատամների փառից մի քանի րոպեում։
 
Անհրաժեշտ բաղադրիչներն են՝
 
• Սոդա
• Ջրածնի պերօքսիդ
• Աղ
• Տաք ջուր
• Ատամի խոզանակ
• Ատամի փայտիկ
• Բերանի հականեխիչ հեղուկ (Listerine):
 
Կիրառման եղանակը
 
1․ 1 ճաշի գդալ սոդան ու կես թեյի գդալ աղը խառնել։ Ատամի խոզանակը թրջել տաք ջրով, թաթախել աղի ու սոդայի խառնուրդի մեջ և քսել ատամներին ու խոզանակով լվանալ 5 րոպե։
2․ 1 բաժակ տաք ջրի մեջ լցնել մի փոքր ջրածնի պերօքսիդ, խառնել և ողողել բերանը մի քանի րոպե, բերանից թափել խառնուրդն ու ողողել սառը ջրով։
3․ Ատամների փառը քերել ատամի փայտիկի միջոցով՝ զգուշանալով լնդերից։
4․ Բերանը ողողել հականեխիչ հեղուկով։
 
Այս պրոցեդուրան կատարել 2 օրը մեկ անգամ և ամբողջովին կազատվեք ատամների փառից ու կունենաք սպիտակ ատամներ։
 
Եվրոպան համառորեն փորձում է վերակենդանացնել նացիզմը նոր ձևով. Լավրով Ուժեղ Հայաստանում ամսական 150,000 դրամ աջակցություն Աղքատության հաղթահարման պետական հիմնադրամից` ծայրահեղ աղքատ ընտանիքներին100,000 զբոսաշրջիկ կգա ֆուտբոլի առաջնությանը, էդքան մարդ մտնի Իջևան՝ այնտեղի սնունդը կվերջանա. ՓաշինյանՄակրոնը մայիսի 5-ին կլինի Գյումրիում Ալվարեսը Չեմպիոնների լիգայում գերազանցել է Մեսսիի ռեկորդը Ալիևն ասում է՝ եթե ես ձեզ հետ խաղաղ պլաններ ունենայի՝ չէի փլուզի եկեղեցին. Էդմոն ՄարուքյանԳերմանիայից ԱՄՆ զինվորականների դուրսբերումը կարող է ձախողել Tomahawk hրթիռների տեղակայման պլանը. PoliticoChanel-ը գլխավորել է ամենապահանջված «ամենաթեժ» բրենդերի վարկանիշը Դուք ծանրակշիռ դեր եք ունենալու նաև համաշխարհային սպորտի զարգացման գործում. ուղերձներ՝ ԾառուկյանինՄխչյանում բախվել են 2 «Opel» ու «ՎԱԶ 2114»-ը Թրամփը տարածել է Հորմուզի նեղուցի լուսանկարը՝ «Թրամփի նեղուց» գրառմամբ Շուտով՝ մեր հաղթանակից հետո հերոսները նորից դառնալու են հերոս. Ուժեղ Հայաստան3 մլն-ով բնակարա՞ն. Արսեն Թորոսյա´ն, ուղեղի տրամաբանության խնդիր ունե՞ք. ՀՃՇ անդամՔրիս Ջենները հերքել է «դեմքի անհաջող լիֆթինգի» մասին լուրերը և հայտարարել, որ լիովին գոհ է արդյունքից ՊԵԿ-ը բացահայտել է խոշոր չափերի` կանխիկ 72,6 մլն ռուսական ռուբլու ներկրման դեպքեր Մաֆիան այսօրվա իշխանությունն է. Էդմոն ՄարուքյանՀայաստանը գտնվում է թուրքական երկու պետությունների միջև՝ աճող վտանգի պայմաններում․ Ավետիք ՉալաբյանՍամվել Կարապետյանը՝ «Ուժեղ Հայաստան»-ի հետ կապվող ձայնագրությունների մասին (տեսանյութ)ԱՄՆ-ը կարող է Իրանի դեմ կիրառել hիպերձայնային զենք. Bloomberg Մենք 100 դոլար էլ չենք նախատեսում կաշառքի համար․ Սամվել Կարապետյան ԶՊՄԿ-ն ներկայացրել է ընկերության վերջին հինգ տարիների ճանապարհը՝ կայուն զարգացման հաշվետվողականության ոլորտումԱՄՆ-ը շուտով որոշում կկայացնի Գերմանիայում զnրակազմի կրճատման վերաբերյալ. Թրամփ«Մուսթաֆաևը Նիկոլի հետևից էր եկել, որ․․․»․ Նաիրա Գևորգյան Աշխատավորի օրվա տոնական շքերթի և համերգի հետ պայմանավորված փակ կլինեն մի շարք փողոցներ Օնիկ Գասպարյան, զգուշացնում եմ՝ եթե նախկին խորհրդականդ շարունակի իր անբարոյական վարքագիծը, հայելային արձագանքը, ավելի կոշտ բառապաշարով, ստանալու ես դու. Աբրահամյան Սամվել Կարապետյանին չթույլատրվեց այցելել հոր գերեզմանին Քաղսիի մանկապարտեզի խոհանոցի արտադրական գործունեությունը կասեցվել է Եթե գործող ռեժիմը մնա, Հայաստանն այլևս չի լինի․ Արմեն ՄանվելյանՈրպես ազգային քաղաքացիական միավորում, մեր նպատակը հստակ է՝ թույլ չտալ հակազգային, օտար ուժերին ծառայող վարչակարգի վերարտադրությունն. Հ. Կամենդատյան«Ռեմոնտադա ըստ ԼՀԿ»-ի. ի՞նչ կլինի ՀՀ-ի հետ. Կարպիս Փաշոյան Մուտաֆաևի այցի մանրամասները հույժ գաղտնի են պահվում Պետական բյուջեն ոչ թե լցնելու ենք մեր գրպանները, այլ ժողովրդի գրպանները. Սամվել Կարապետյան Սամվել Բաբայանը նեղացել է Նիկոլ Փաշինյանից Նրանք առաջ են մղում 300,000 ադրբեջանցիների Հայաստան բերելու ծրագիրը. Նարեկ Կարապետյան ԵՄ-ն աջակցում է ՀՀ «բռնապետին»՝ անտեսելով իրավունքների և ժողովրդավարության ոտնահարումները․ Ամստերդամ Ինչո՞ւ է ոգևորվել Թուրքիայում ԱՄՆ դեսպանը հայ-թուրքական հանդիպումից Մայիսի 15-ին էկրան կբարձրանա «Հայաքվե» ազգային քաղաքացիական միավորման աջակցությամբ նկարահանված «Ծիծեռնակի հավատի կենացը» ֆիլմըՍտեղծվելու է «Աղքատության հաղթահարման հիմնադրամ», որտեղ ներդրում են անելու պետությունը, տարբեր հիմնադրամներ և գործարար աշխարհի մեր գործընկերները. Ն. ԿարապետյանՓաշինյանը ամեն օր մի երազ տեսնում է. Սամվել Կարապետյան Հայկական միջավայրում ի հայտ եկած այս մարտնչող և ագրեսիվ ստերը հարյուր տարի մեր քաղաքական միտքը գերության և ստրկության մեջ են պահել. ՄարուքյանՊուտինը կորոշի Հաղթանակի տոնի կապակցությամբ հայտարարվող hրադադարի հստակ ժամերը. Պեսկով Հակակոռուպցիոն դատարանը շարունակում է Սամվել Կարապետյանի խափանման միջոցի հարցի քննարկումը Արցախը իմ մեջ է` անջնջելի և անբեկանելի. այն ո´չ կարելի է մոռացության մատնել, ո´չ վերացնել մեր ազգային ինքնությունից. Արտյոմ Սիմոնյան Մեր գլխավոր խնդիրն այս ապազգային վարչախմբի հեռացումն է․ Մենուա ՍողոմոնյանՀայտնի է Էմանուել Մակրոնի Հայաստան պետական այցի օրակարգը. Այցելելու է Ծիծեռնակաբերդ և Մատենադարան Ռուսաստանը Եվրոպայի երկրների դեմ որևէ ագրեuիվ մտադրություն չունի. Մեդվեդև Հայաստանը շեշտակի հետընթաց է արձանագրել մամուլի ազատության ոլորտում Ցավալի է, որ ստիպված ենք ամաչել մեր երկրի ղեկավարության արարքների համար․ Լիլիթ Արզումանյան.Ո՞ր ժամանակներից են մարդիկ պլաստիկ միջամտություններ կատարել. «Փաստ»Այսօր ովքեր չունեն սկզբունք և հլու հնազանդ ծառայում է ՔՊ-ին, նրանք արտոնյալ են և իրենց ամեն ինչ կարելի է. Մեսրոպ Մանուկյան