Երևան, 30.Ապրիլ.2026,
00
:
00
ՄԵՆՅՈՒ
Շտապում են փրկե՞լ Նիկոլ Փաշինյանին. ի՞նչ անուն է կրում առաջիկա գագաթաժողովը. «Փաստ» Անտեղյակ՝ ավարտված խնջույքի մթնոլորտից. գլուխը միայն գլխարկ կրելու համար չէ. «Փաստ» «Տան միակ ու շատ սիրված երեխան էր». Ժորա Փարսյանն անմահացել է հոկտեմբերի 14-ին Հադրութում, տուն «վերադարձել»... հինգ ամիս անց. «Փաստ» Էներգետիկ ճգնաժամի նախանշաններ. մատակարարման կարևոր ուղիների խաթարման ռիսկը. «Փաստ» «Եվրոպական կառույցները երկընտրանքի առջև են հայտնվել». «Փաստ» Չտեսնելու և չլսելու տալ չի հաջողվի. իրականությունից փախչել հնարավոր չէ. «Փաստ» Տնտեսական գերկենտրոնացման սեղմող օղակը. «Փաստ» «Նախնական զինվորական պատրաստվածություն» դասընթացը կփոխարինվի այլ առարկայով. նախագիծ. «Փաստ» Գնաճը նորանոր ռեկորդներ է սահմանում. «Փաստ» Նույնիսկ սատելիտներն են ընդունո՞ւմ, որ ՔՊ-ն ընդդիմություն է դառնալու. «Փաստ»


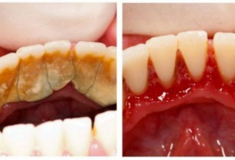
Ինչպես ընկույզի կեղևի օգնությամբ ազատվել ատամնաքարից

Lifestyle

Եթե չհետևեք էմալին ու ժամանակին չազատվեք ատամնափառից, կարող է առաջանալ պարոդոնտիտ: Պարոդոնտիտի դեպքում վարակը արմատային ուղիներով  թափանցում է դեպի ատամը և բորբոքվում է ատամի թաղանթն ու նրան շրջապատող հյուսվածքները:

Բարեբախտաբար գոյություն ունի բնական միջոց այդ տհաճ հիվանդությունը կանխարգելման համար:

lifter.com.ua-ն ներկայացրել է  շատ պարզ մի բաղադրատոմս, որը թույլ կտա պահպանել ատամներն ու հաղթահարել ատամնաքարերի  առաջացման խնդիրը:

Բաղադրատոմսի պատրաստման համար հարկավոր է՝

• 40 հունական ընկույզի կեղև
• 1 բաժակ ջուր

Ինչպես պատրաստել՝

• Եփեք ընկույզի կեղևը 20 րոպե ջրի մեջ, թողեք այն սառչի ու քամեք:
• Ատամի խոզանակը 10 րոպե դրեք այդ հեղուկի  մեջ, որից հետո նրանով մանրակրկիտ մաքրեք ատամները:
• Այդ պրոցեդուրան կրկնեք օր 3 անգամ(այնքան ժամանակ, մինչև ատամնաքարերը կահնետանան):

     2 շաբաթ անց արդյունքը  ձեզ կուրախացնի:

Ընկույզի  կեղևը հանդիսանում է հզոր հակաբակտերիալ միջոց, որը օգնում է նաև մաքրել էմալի մակերեսը տհաճ փառից: Այդ պրոցեդուրան շատ օգտակար է հատկապես նրանց համար, ովքեր տառապում են  լնդերի արնահոսությամբ:

Հայաստանը գտնվում է թուրքական երկու պետությունների միջև՝ աճող վտանգի պայմաններում․ Ավետիք ՉալաբյանՍամվել Կարապետյանը՝ «Ուժեղ Հայաստան»-ի հետ կապվող ձայնագրությունների մասին (տեսանյութ)ԱՄՆ-ը կարող է Իրանի դեմ կիրառել hիպերձայնային զենք. Bloomberg Մենք 100 դոլար էլ չենք նախատեսում կաշառքի համար․ Սամվել Կարապետյան ԶՊՄԿ-ն ներկայացրել է ընկերության վերջին հինգ տարիների ճանապարհը՝ կայուն զարգացման հաշվետվողականության ոլորտումԱՄՆ-ը շուտով որոշում կկայացնի Գերմանիայում զnրակազմի կրճատման վերաբերյալ. Թրամփ«Մուսթաֆաևը Նիկոլի հետևից էր եկել, որ․․․»․ Նաիրա Գևորգյան Աշխատավորի օրվա տոնական շքերթի և համերգի հետ պայմանավորված փակ կլինեն մի շարք փողոցներ Օնիկ Գասպարյան, զգուշացնում եմ՝ եթե նախկին խորհրդականդ շարունակի իր անբարոյական վարքագիծը, հայելային արձագանքը, ավելի կոշտ բառապաշարով, ստանալու ես դու. Աբրահամյան Սամվել Կարապետյանին չթույլատրվեց այցելել հոր գերեզմանին Քաղսիի մանկապարտեզի խոհանոցի արտադրական գործունեությունը կասեցվել է Եթե գործող ռեժիմը մնա, Հայաստանն այլևս չի լինի․ Արմեն ՄանվելյանՈրպես ազգային քաղաքացիական միավորում, մեր նպատակը հստակ է՝ թույլ չտալ հակազգային, օտար ուժերին ծառայող վարչակարգի վերարտադրությունն. Հ. Կամենդատյան«Ռեմոնտադա ըստ ԼՀԿ»-ի. ի՞նչ կլինի ՀՀ-ի հետ. Կարպիս Փաշոյան Մուտաֆաևի այցի մանրամասները հույժ գաղտնի են պահվում Պետական բյուջեն ոչ թե լցնելու ենք մեր գրպանները, այլ ժողովրդի գրպանները. Սամվել Կարապետյան Սամվել Բաբայանը նեղացել է Նիկոլ Փաշինյանից Նրանք առաջ են մղում 300,000 ադրբեջանցիների Հայաստան բերելու ծրագիրը. Նարեկ Կարապետյան ԵՄ-ն աջակցում է ՀՀ «բռնապետին»՝ անտեսելով իրավունքների և ժողովրդավարության ոտնահարումները․ Ամստերդամ Ինչո՞ւ է ոգևորվել Թուրքիայում ԱՄՆ դեսպանը հայ-թուրքական հանդիպումից Մայիսի 15-ին էկրան կբարձրանա «Հայաքվե» ազգային քաղաքացիական միավորման աջակցությամբ նկարահանված «Ծիծեռնակի հավատի կենացը» ֆիլմըՍտեղծվելու է «Աղքատության հաղթահարման հիմնադրամ», որտեղ ներդրում են անելու պետությունը, տարբեր հիմնադրամներ և գործարար աշխարհի մեր գործընկերները. Ն. ԿարապետյանՓաշինյանը ամեն օր մի երազ տեսնում է. Սամվել Կարապետյան Հայկական միջավայրում ի հայտ եկած այս մարտնչող և ագրեսիվ ստերը հարյուր տարի մեր քաղաքական միտքը գերության և ստրկության մեջ են պահել. ՄարուքյանՊուտինը կորոշի Հաղթանակի տոնի կապակցությամբ հայտարարվող hրադադարի հստակ ժամերը. Պեսկով Հակակոռուպցիոն դատարանը շարունակում է Սամվել Կարապետյանի խափանման միջոցի հարցի քննարկումը Արցախը իմ մեջ է` անջնջելի և անբեկանելի. այն ո´չ կարելի է մոռացության մատնել, ո´չ վերացնել մեր ազգային ինքնությունից. Արտյոմ Սիմոնյան Մեր գլխավոր խնդիրն այս ապազգային վարչախմբի հեռացումն է․ Մենուա ՍողոմոնյանՀայտնի է Էմանուել Մակրոնի Հայաստան պետական այցի օրակարգը. Այցելելու է Ծիծեռնակաբերդ և Մատենադարան Ռուսաստանը Եվրոպայի երկրների դեմ որևէ ագրեuիվ մտադրություն չունի. Մեդվեդև Հայաստանը շեշտակի հետընթաց է արձանագրել մամուլի ազատության ոլորտում Ցավալի է, որ ստիպված ենք ամաչել մեր երկրի ղեկավարության արարքների համար․ Լիլիթ Արզումանյան.Ո՞ր ժամանակներից են մարդիկ պլաստիկ միջամտություններ կատարել. «Փաստ»Այսօր ովքեր չունեն սկզբունք և հլու հնազանդ ծառայում է ՔՊ-ին, նրանք արտոնյալ են և իրենց ամեն ինչ կարելի է. Մեսրոպ ՄանուկյանԵրիտասարդության տրամադրությունների փոփոխությունը՝ քաղաքական դաշտի նոր ազդակ ՊԱՏՄՈՒԹՅԱՆ ԱՅՍ ՕՐԸ (30 ԱՊՐԻԼԻ). Բախումներ Մաշտոցի պուրակում. «Փաստ»«Բարգավաճ Հայաստան» կուսակցությունը շարունակում է ընդլայնել իր ներկայությունը՝ ինչպես Երևանում, այնպես էլ հանրապետության ողջ տարածքումԵվրոպան համառորեն փորձում է վերակենդանացնել նացիզմը նոր ձևով. Լավրով Պատմությունը հաճախ է ցույց տվել, որ ամենաբարձր մակարդակի քաղաքական խաղերը սերտորեն հյուսված են դավաճանության, ներքին խարդավանքների և բարոյական անկման հետ. ԿամենդատյանՄակրոնը մայիսի 5-ին կլինի Գյումրիում Այսօր Ադրբեջանի տարածքով Հայաստան կուղարկվեն հացահատիկ և պարարտանյութ Շտապում են փրկե՞լ Նիկոլ Փաշինյանին. ի՞նչ անուն է կրում առաջիկա գագաթաժողովը. «Փաստ»Ռուսաստանը սկսել է կոր տանիքների համար հարմար ճկուն արևային վահանակների արտադրությունը Անտեղյակ՝ ավարտված խնջույքի մթնոլորտից. գլուխը միայն գլխարկ կրելու համար չէ. «Փաստ»Գագաթնաժողովի ստվերում՝ հարաբերությունների հնարավոր խզման վտանգը Գ. Ծառուկյանի՝ 0 %-ով գյուղվարկերի մասին առաջարկը եղել և մնում է արդիական. Միքայել Մելքումյան «Տան միակ ու շատ սիրված երեխան էր». Ժորա Փարսյանն անմահացել է հոկտեմբերի 14-ին Հադրութում, տուն «վերադարձել»... հինգ ամիս անց. «Փաստ»«Լեսնոյ». Մի քանի տաղավարից հանգստի պահանջված վայր՝ Կոնվերս Բանկի աջակցությամբԵրեկ մենք համագործակցության հուշագիր ստորագրեցինք «Ուժեղ Հայաստան» դաշինքի հետ. Ավետիք ՉալաբյանԷներգետիկ ճգնաժամի նախանշաններ. մատակարարման կարևոր ուղիների խաթարման ռիսկը. «Փաստ»