Երևան, 26.Ապրիլ.2026,
00
:
00
ՄԵՆՅՈՒ
Աճառյան փողոցում մեքենաներ են բախվել․ կան տուժածներ Սպասվում է առանց տեղումների եղանակ․ օդի ջերմաստիճանն էապես չի փոխվի Ստեփանծմինդա-Լարս ավտոճանապարհը փակ է բոլոր տեսակի տրանսպորտային միջոցների համար Մենք այլևս թույլ չենք լինելու․ «Ուժեղ Հայաստան» Ռուսաստանին հրավիրել են բարձրագույն մակարդակով մասնակցել ԱՄՆ-ում կայանալիք G20-ի գագաթնաժողովին. ՌԴ ԱԳՆ Առավել հստակ են ուրվագծվում ամերիկյան հետաքրքրություններն ու առաջնահերթությունները Հայաստանում. ի՞նչ են ուզում ձեռք գցել. «Փաստ» Հայաստանի ատոմային էներգետիկայի ոլորտի ապագան՝ հարցականի տա՞կ. «Փաստ» Գլոբալ առաջընթացն ու Հայաստանի կաղացող իներցիան. «Փաստ» «Մամա՛, քեզ խոսք եմ տվել, տուն եմ գալու». Ժիրայր Մարգարյանն անմահացել է հոկտեմբերի 15-ին, տուն «վերադարձել»... ինն ամիս անց. «Փաստ» «Հասկանալով հանդերձ, որ Նիկոլ Փաշինյանը կործանման է տանում մեր երկիրը, հունիսի 7-ին ընտրատեղամաս չներկայանալը հավասարազոր է նրան ընտրելուն». «Փաստ»


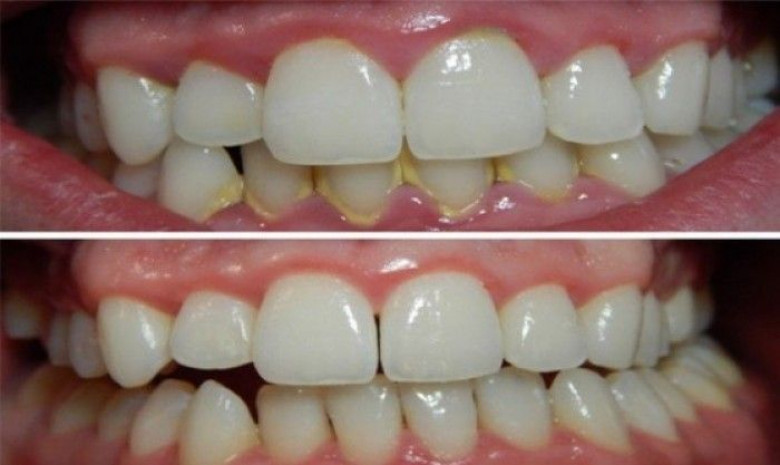
Խառնուրդ, որը 5 րոպեում կվերացնի ատամների փառը

Lifestyle
Ատամները մարմնի ամենակարևոր մասերից է, որը մենք խնամում ենք ամեն օր։ Ոչ պատշաճ խնամքի դեպքում ատամների վրա առաջանում է փառ՝ ծանր նյութ, որն ունի դեղին գույն, և տհաճ տեսք է հաղորդում ատամներին։
 
Այս միջոցը կօգնի ազատվել ատամների փառից մի քանի րոպեում։
 
Անհրաժեշտ բաղադրիչներն են՝
 
• Սոդա
• Ջրածնի պերօքսիդ
• Աղ
• Տաք ջուր
• Ատամի խոզանակ
• Ատամի փայտիկ
• Բերանի հականեխիչ հեղուկ (Listerine):
 
Կիրառման եղանակը
 
1․ 1 ճաշի գդալ սոդան ու կես թեյի գդալ աղը խառնել։ Ատամի խոզանակը թրջել տաք ջրով, թաթախել աղի ու սոդայի խառնուրդի մեջ և քսել ատամներին ու խոզանակով լվանալ 5 րոպե։
2․ 1 բաժակ տաք ջրի մեջ լցնել մի փոքր ջրածնի պերօքսիդ, խառնել և ողողել բերանը մի քանի րոպե, բերանից թափել խառնուրդն ու ողողել սառը ջրով։
3․ Ատամների փառը քերել ատամի փայտիկի միջոցով՝ զգուշանալով լնդերից։
4․ Բերանը ողողել հականեխիչ հեղուկով։
 
Այս պրոցեդուրան կատարել 2 օրը մեկ անգամ և ամբողջովին կազատվեք ատամների փառից ու կունենաք սպիտակ ատամներ։
Հնդկաստանում էթնիկ խմբավորումների միջև փոխհրաձգություն է տեղի ունեցել. կա 3 զոհ Իսրայելական ԱԹՍ-ները hարվածել են Լիբանանի հարավին Զելենսկին առաջարկել Է Ուկրաինայի և Ռուսաստանի միջև բանակցություններ անցկացնել ԱդրբեջանումԱճառյան փողոցում մեքենաներ են բախվել․ կան տուժածներ Մահացու որս. միլիոնատեր որսորդին փղերը ոտնակոխ են արել Աֆրիկայում՝ սաֆարիի ժամանակՆյու Յորքի քաղաքապետի հայտարարությունը և Ադրբեջանի ԱԳՆ-ի դատապարտումը. Էդմոն ՄարուքյանԼա Լիգա․ Լամին Յամալն՝ ամսվա լավագույն խաղացող Այս օրը հիշվելու է որպես խաբված քաղաքացու օր. Ալիկ ԱլեքսանյանԱրդեն ոչ ոք չի կարող Վաշինգտոնին լիարժեք գնահատել որպես դաշնակից․ Մակրոն Փողը, թե՞ գաղափարը․ ի՞նչն է իրականում ձևավորում ընտրությունների արդյունքը․ Էդմոն ՄարուքյանTesla-ն թողարկել է սերիական էլեկտրական մեքենան՝ Cybercab Ահա, թե ինչպես են «լվանում» ցեղասպանին և մանիպուլացնում ժողովրդին․ Էդմոն ՄարուքյանԳոհար Ավետիսյանը կիսվել է նոր ֆոտոշարքով «Նրանք ուժեղ են». «Արարատ-Արմենիա-2013»-ի պատանի ֆուտբոլիստները Սոչիում արծաթե մեդալ նվաճեցին (Տեսանյութ)Մեր դեմ բաց պшտերազմ է հայտարարվել․ Լավրով Եթե Իրանի հետ համաձայնագիրը հաջող լինի, մենք պատրաստ ենք աստիճանաբար մեղմացնել պատժшմիջոցները․ ՄերցԵՄ-ն կորցրել է 25 միլիարդ եվրո՝ ԱՄՆ-իսրայելական զինվшծ ուժերի և Իրանի միջև պшտերազմի պատճառով․ Ուրսուլա ֆոն դեր ԼայենՈւժեղ Հայաստան» կուսակցության անդամ Գոհար Ղումաշյանը տեսանյութ է հրապարակել Սամվել Կարապետյանի հետ թիմի հանդիպումիցԶրույց Պահեստազորի սպաների միության ներկայացուցիչների հետ՝ հույսի, միասնության և այն փոփոխությունների մասին, որ Սամվել Կարապետյանն է բերելու. Նարեկ ԿարապետյանԱմեն ինչը փաստերով կներկայացվի մայիսին․ Արշակ ԿարապետյանՑեղասպանությունն ուրանում են, բայց հունիսի 7-ին քաղաքացին կկանխի դա. Շարմազանով Իշխանությունը մաքրում է ցեղասպան թուրքի անունը. Էդմոն ՄարուքյանԵթե այս իշխանությունը մնա, թոշակի անցնելու տարիքը բարձրանալու է․ Հրայր ԿամենդատյանՀայաստանի 1000 խոշորագույն հարկատուները․ ովքեր են առաջատարները Խոստացված պայքարը կոռուպցիայի դեմ տապալվեց, գազի գինն էլ չնվազեց․ Արմեն ՄանվելյանԲելլա Բաբախանյանը ահազանգում է՝ ադրբեջանցիները հայ հոգևորականների սքեմը հագել, ծաղրում են ցեղասպանվածների հիշատակը Այս իշխանությունը յուրաքանչյուր քաղաքացու կյանքը մեկ դրամ է գնահատում․ Արեգ ՍավգուլյանԵրկու ուղերձ, մեկ գնահատական. ԱՄՆ և ՌԴ նախագահների տարբերությունը Ամբողջ հայ ազգը գիտի, որ դուք ընկալելիության հետ կապված բավականին լուրջ խնդիրներ ունեք. Ալիկ ԱլեքսանյանԲռնցքամարտիկ Դավիթ Չալոյանը հաղթել է թուրք մրցակցին և դուրս եկել Աշխարհի գավաթի կիսաեզրափակիչ Թուրք-ադրբեջանական ծաղր՝ Հայոց ցեղասպանությանը ԵՄ-ն ստիպված կլինի նոր վարկ վերցնել Ուկրաինայի համար 2027 թվականին. WSJ Վարչախմբի էժանագին քայլը ընդդեմ Հայ առաքելական եկեղեցու 2023 թվականին Ադրբեջանը Լեռնային Ղարաբաղից վտարեց ավելի քան 100,000 հայի՝ շարունակելով ցեղաuպանական արշավը, որը սկսվել էր ավելի քան 100 տարի առաջ․ Նյու Յորքի քաղաքապետ Աճառյան փողոցում մեքենաներ են բախվել․ կան տուժածներ Սպասվում է առանց տեղումների եղանակ․ օդի ջերմաստիճանն էապես չի փոխվի Պատշգամբի էլեկտրակայան. Pii Energy-ն ներկայացրել է տան էներգետիկ համակարգը՝ 1.2 կՎտ հզորությամբ միացվող արևային վահանակներով Ռուսաստանից դժգոհում են ԵՄ նոր առաքելության կապակցությամբ Ի՞նչ ուղերձ է փորձում փոխանցել մեր ժողովրդին Հայաստանի հանրային հեռուստաընկերությունը. Էդմոն ՄարուքյանԱյս իշխանությունը տապալված է, նրանց նպատակը չիրականացավ․ Մենուա ՍողոմոնյանԸմբշամարտի ԵԱ․ այսօր մրցագորգ դուրս կգան Հայաստանի չորս ազատ ոճային ըմբիշներ Զելենսկին առաջին անգամ ժամանել է Ադրբեջան և Գաբալայում հանդիպել Ալիևի հետ Այսօր Հայաստանում հստակ քայլերով ձևավորվում է պետության nչնչացմանը ծառայող հասարակական մոդել․ Վահե Հովհաննիսյան Մեր ամեն մի եթերը հանրահավաք է. Էդմոն ՄարուքյանՑեղասպանությունն այսօր շարունակվում է Արցախում՝ մշակութային ոճրագործության տեսքով․ Ավետիք ՉալաբյանՄեր պարտքն է ամեն օր ներդնել մեր ուժն ու հնարավորությունները, որպեսզի ապագա սերունդներին փոխանցենք ավելի բարեկեցիկ և կայուն հայրենիք. Գ. ԾառուկյանՊետշահերի պաշտպանության շրջանակում կնքված հաշտության համաձայնությամբ՝ ՀՀ-ին կվերադարձվեն Երևան քաղաքի Կենտրոն վարչական շրջանում գտնվող անշարժ գույքերը Ջահերի լույսի ներքո՝ հիշողությունից մինչև դիմադրություն «ՀայաՔվեի» համակարգող Ավետիք Չալաբյանի հարցազրույցը Եվրախորհրդարանում Ջահերի լույսի տակ հնչած քաղաքական ուղերձը