Երևան, 22.Ապրիլ.2026,
00
:
00
ՄԵՆՅՈՒ
Թուրքիայի հետ հարաբերությունների կարգավորման հարցում տնտեսական առումով հնարավորությունների մասին դեռ խոսք անգամ լինել չի կարող․ Նաիրի Սարգսյան (տեսանյութ) ԱՄՆ-ի և Իրանի պատվիրակությունները միաժամանակ կժամանեն Իսլամաբադ. Al Hadath Բաց պատուհաններ, ամայացում, անկյանք... «նոր կյանք». «Փաստ» Ինչի՞ց են վախենում ամերիկյան փորձագիտական շրջանակները. «Փաստ» «Բանակն իր առաջին տունն էր, ծառայությունն իր համար ամենակարևոր պարտավորությունն էր». սերժանտ Արտակ Սարգսյանն անմահացել է 2023 թ. սեպտեմբերի 20-ին Հաթերքի դիրքում. «Փաստ» Պետությունը չի կարող կայուն լինել, եթե կտրված է իր քաղաքակրթական հիմքերից. «Փաստ» Ռազմական գործողության վերսկսումը կորստաբեր է լինելու․ Արտակ Զաքարյան Ինչ փոփոխություններ են կատարվել կաթի և կաթնամթերքի փորձաքննության կարգում. «Փաստ» «TRIPP-ը մի նախագիծ է, որը ծնունդ է առնում ճնշումների, հարկադրանքի, սպառնալիքների ներքո». «Փաստ» Հանգուցալուծումը՝ հունիսի 7-ին. ինչպես խուսափել ազգակործան հետևանքներից. «Փաստ»


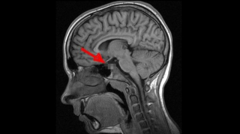
Գիտնականները հայտարարել են, որ ուղեղի այս հիվանդությամբ տառապում է մարդկանց գերակշիռ մեծամասնությունը

Lifestyle

Blognews.am-ը գրում է.

Դեժավյուն հոգեբանական կարգավիճակ է, որի ընթացքում մարդուն թվում է, թե նա էլի է հայտնվել նման իրավիճակում: Երևի Ձեզ հետ էլ է պատահել նման բան՝ որևէ անծանոթ տուն կամ վայր առաջին անգամ եք ոտք դրել, սակայն Ձեզ թվացել է, որ այդտեղ արդեն եղել եք:

2009 թ. գիտնականները որոշեցին լրջորեն ուսումնասիրել այս ոչ սովորական երևույթը: Որոշ ժամանակ անց Մասաչուսեթսի տեխնոլոգիական համալսարանի մասնագետները հայտարարեցին, որ ուղեղն ունի այնպսիս հատված, որը պատասխանատու է այս երևույթի համար: Դեժավյուի գլխավոր դերը այն նեյրոններինն է, որոնց շնորհիվ կարողանում ենք զգալ պատկերների ամենափոքր տարբերություններն անգամ: Սրա շնորհիվ մարդը գիտակցում է, թե ինչպիսի տպավորություններ է ինքը վաղուց արդեն ստացել, իսկ որոնք են ամբողջապես նոր նրա համար: Այսն կարծես մարդու «կյանքի փորձառությունը» բաժանում է անցյալի և ներկայի: Սակայն երբ երկու տպավորություններ իրար շատ նման են լինում, ուղեղի այդ հատվածի աշխատանքը «կախում է», ինչն էլ բերում է տարօրինակ այս զագցմանը:

2009թ. բացահայտումից հետո միայն մեկ անպատասխան հարց է մնացել՝ այս երևույթը բնորոշ է առողջ մարդկա՞նց, թե՞ ոչ այնքան: Պատասխանը գտնելու պատասխանատվությունն իրենց վրա վերցրին Չեխիայի Մասարիկա և Մեծ Բրիտանիայի Էկսետերի համալսարանների մասնագետները: Նրանք պարզեցին, որ դեժավյու կարող է լինել անգամ փոքր տարիքում, երբ նոր կազմավորվում է ուղեղը: Հոգնախության և սթրեսի ժամանակ ուղեղի տվյալ հատվածի աշխատանքը խաթարվում է և արդյունքում առաջանում են հիշողություններ այնպիսի բաների մասին, որոնք երբեք չեն էլ եղել: Գիտնականների վերջնական դիագնոզը ցավալի է՝ դեժավյուն համարվում է նյարդաբանական խանգարում:

Մենք ենք լուծելու Հայաստանի Հանրապետության անվտանգության հարցը` առանց վնասելու մեր ինքնիշխանությանը. Արշակ Կարապետյան Թուրքիայի հետ հարաբերությունների կարգավորման հարցում տնտեսական առումով հնարավորությունների մասին դեռ խոսք անգամ լինել չի կարող․ Նաիրի Սարգսյան (տեսանյութ) Փաշինյանն արդեն անկեղծ է՝ ցույց է տվել իր երկրի հակառակ կողմը. մեծ է ճգնաժամի հավանականությունը. Աննա Կոստանյան Ուժեղ պետություն հնարավոր է կառուցել միայն համախմբված հասարակության և պրոֆեսիոնալ կառավարման միջոցով. Նարեկ ՄանթաշյանԻսրայելցի զինվորի կողմից կոտրված Խաչը վերականգնվեց, իսկ Ադրբեջանը մեր եկեղեցիները հողին է հավասարեցնում, և Հայաստանից՝ ոչ մի արձագանք. Էդմոն ՄարուքյանԷս «կռվում» բոլորի ճակատագիրն է որոշվում, այդ թվում՝ նրանց, ովքեր առաջին հայացքից միայն «թամաշա» են անում. Վահե Հովհաննիսյան Արտաքին ցուցադրությո՞ւն, թե ընտրական հաշվարկ․ երևանյան գագաթնաժողովի քաղաքական գինը Ահա թուրքական պարտքի նոր հաշվարկը. Հրայր ԿամենդատյանՄեր անվտանգության երաշխավոր ադրբեջանցիներն ավերել են Ստեփանակերտի Սբ Աստվածամոր Հովանի եկեղեցին, սակայն ադրբեջանական բենզինն էժան է լիտրը 30-40 դրամով. Մ. ՍողոմոնյանՔաղաքական դաշտի նոր բևեռը․ «Ուժեղ Հայաստան»-ի արագ աճն ու վերաձևվող ընտրական տրամաբանությունը Հայաստանը պատրաստ է ընդլայնել Իսրայելի հետ կապերը. ՀՀ ԱԳՆ Շնորհավորում եմ մեր հաղթանակած մարզիկներին և նրանց մարզիչներին և սրտատրոփ սպասում մեր մյուս մարզիկների մրցելույթներին ու նոր հաղթանակներին․ Գագիկ ԾառուկյանԿրակոցներ Թեոթիուականի բուրգերի մոտ. զբոսաշրջիկ է մահացել, կան վիրավորներ 15.000.000$ է Սամվել Կարապետյանը փոխանցել հայ ուսանողներին կրթաթոշակների համար. Նարեկ ԿարապետյանԻսրայելը վերացրել է Իրանի կողմից uպառնացnղ միջnւկային Հոլnքnuտի վտանգը. ՆեթանյահուԱդրբեջանական օկուպացիոն վարչակազմը Ստեփանակերտում nչնչացրել է Սուրբ Աստվածամոր Հովանու եկեղեցին․ հայտարարությունՆիկոլ Փաշինյանը մի ժամանակ աստվածաբան էր, հետո՝ երաժիշտ, հիմա էլ կարծես ֆինանսական վերլուծաբան է դարձել. Նարեկ ԿարապետյանԻրանում ԱՄՆ-ի և Իսրայելի hարվածների հետևանքով վնաuվել է 138 հազար քաղաքացիական օբյեկտՀայտնի արգելքի պատճառով Սամվել Կարապետյանի հետ չէի հանդիպել շուրջ 10 ամիս․ Գոհար ՂումաշյանՌոբերտ Ամստերդամը Ռուբեն Վարդանյանին աջակցող գրառում է արելՔրիստինա Ագիլերան ցնցել է համարձակ կաշվե զգեստով նոր կերպարով Մենք քաղաքական որևէ ժառանգության համար պատասխանատվություն չենք կրում, ընդամենը 8 ամիս ենք քաղաքականության մեջ․ ԿարապետյանՍպիտակ-Երևան ճանապարհին բախվել են «MAN»-ն ու «Opel Astra»-ն. կա տուժած Կայացավ «Հայոց ցեղասպանություն և փոփոխվող տարածաշրջան» խորագրով «Առաջարկ Հայաստանին» նախաձեռնող խմբի կազմակերպած խորհրդաժողովըՅունիբանկը թողարկել է 5.6% եկամտաբերությամբ դոլարային պարտատոմսերԱրտաշ Ասատրյանը նոր տեսահոլովակ է ներկայացրել Կայացավ «Ուժեղ Հայաստան» կուսակցության համագումարըԿոնվերս Բանկը նվազեցրել է Converse SME վարկատեսակի տոկոսադրույքըԱդրբեջանի և Հայաստանի միջև հարաբերությունների կարգավորման գործընթացը չափազանց կարևոր է ԵՄ-ի համար. ԿալասՍամվել Կարապետյանի անունը ցուցակում չէր կարող լինել, քանի որ այս պահին արգելք կա. Գոհար ՄելոյանՄարիաննա Ղահրամանյանը ներկայացնում է «Ուժեղ Հայաստան» դաշինքի ընտրական ցուցակըԺամանակն է, որ մեր ազգի ուժեղ զավակները չլինեն կալանքի տակ՝ 2 ընկերների ջանքերով. Նարեկ ԿարապետյանԵրևանում բախվել են «Lexus»-ը, «Toyota»-ն և «Hyundai»-ն Մաղթում եմ ոչ թե կանաչ, այլ քարքարոտ ճանապարհ, որ այդ քարերը հատ-հատ մաքրելով դուրս գանք մինչև հաղթական կետ․ Նաիրի ՍարգսյանՍամվել Կարապետյանը չի խնայի ոչինչ, որ մեր գերիները վերադառնան, համոզված եմ. ԱռաքելյանԱդրբեջանից Հայաստան կուղարկվի 16 վագոն դիզելային վառելիք «Ուժեղ Հայաստան» դաշինքի մաս կազմող քաղաքական կուսակցությունների անդամների հանդիպումըLaureus World Sports Awards. Լամին Յամալը՝ աշխարհի լավագույն երիտասարդ մարզիկ Փաշինյանը վերջնականապես խաչ է քաշում ՀԱՊԿ-ի վրաԵթե Օնիկ Գասպարյանի նպատակը ՔՊ-ի մասնակցությամբ քննարկումն էր, շատ վատ է, եթե նա ասելիք ունի հասարակությանը, շահագրգիռ կողմերին, ապա հապաղելու իրավունք չունի․ Աբրահամյան Գեներալ Գասպարյանը՝ «խաչաձև կրակի» տակՀայաստանը պետք է համագործակցի Եվրամիության հետ որպես ինքնուրույն ազգային պետություն․ Ավետիք ՉալաբյանԱրևմուտքը մտահոգ է Փաշինյանի հնարավոր պարտությունիցԱռաջնայինը ոչ թե ցուցակներում ընդգրկվելն է, այլ այս իշխանությունից ազատվելը․ Արմեն Մանվելյան«Ապրելու երկիր» կուսակցությունը և «Ուժեղ Հայաստան» կուսակցությունների դաշինքը ստորագրել են հուշագիր «Եվրաքվեն» փլուզվեց՝ անձնական ամբիցիաների պատճառով Գեներալ Կարապետյանը վերջին զինվորական նախարարն էր, ով դիմակայեց թուրքին. տեսանյութԵվրոպան խուսափել է էներգետիկ ճգնաժամից շնորհիվ վերականգնվող էներգիայի Արմեն Ստեփանյան. «Բիզնեսը եւ բնությունը» խորագիրը լիովին արտացոլում է ԶՊՄԿ մոտեցումը Խոստացել էին աղքատության մակարդակը 50%-ով նվազեցնել․ միայն 1%-ն է իրականացել․ Արեգ Սավգուլյան